前日,在福建省立医院心外二科病房内,记者见到了68岁的患者老张,他在接受二次心脏手术后仅6天,已基本康复准备出院。通常心脏手术后患者需住院治疗半个月,老张术后的恢复速度令人难以置信。究其原因,得益于翁国星副院长为其进行的全省首创二次心脏手术新技术——巨大心脏患者全胸腔镜下心脏三尖瓣置换术。
关键词一:时隔二十一年
据老张回忆,他第一次接受心脏手术是21年前,在省立医院进行常规开胸的心脏二尖瓣瓣膜置换。但是近年来,他又出现了脚肿、腹胀、食欲不振等右心功能衰竭的症状,不堪疾病折磨的老张去当地医院就诊,经检查发现是心脏三尖瓣瓣膜出现严重关闭不全病变。当他得知可能要再次进行心脏手术的时候,他还是选择了其所信任的省立医院。

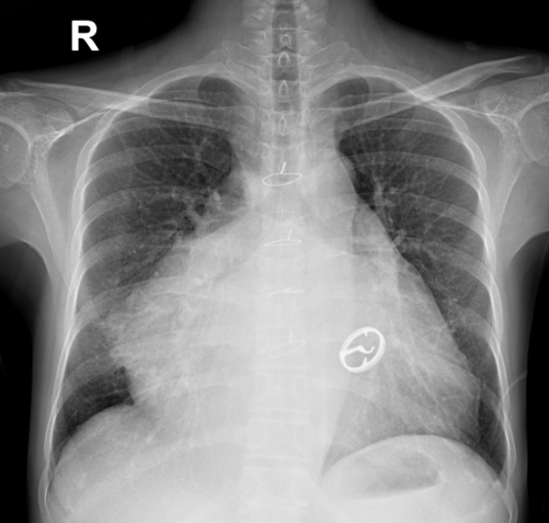
X光胸片提示巨大的心脏,大小超过正常心脏大小的2.5倍
图中圆形影像为第一次心脏手术时置换的二尖瓣人工机械瓣
关键词二:心脏二次手术
据老张的主刀医生、省立医院副院长、心外二科主任翁国星教授介绍,心脏瓣膜手术后出现人工瓣膜衰坏、亦或出现其他心脏瓣膜病变时,经保守治疗无效,通常需要再次手术。然而老张由于第一次心脏手术的影响,再次心脏手术复杂且难度大,主要是第一次心脏术后的粘连所导致的组织结构不清,分离粘连所致的创伤大、出血多、手术时间长及胸骨切开时心脏和纵隔组织粘连的问题也十分严峻,加之该患者的右心房和右心室巨大,部分心房壁薄如纸,手术结束后常因不能控制心脏切口出血和低心排血量综合征而死亡。根据国内相关资料统计,既往接受过心脏手术的三尖瓣再手术患者死亡率可高达50%。顾虑到无法承受二次手术的创伤,大多数医生选择对患者进行保守治疗,长期靠药物控制症状,但效果并不理想。医者仁心,面对挑战,翁国星副院长以及心外二科坚持救治,经过研究国内外相关案例的治疗进展,严密审慎地系统评估,全科室讨论并且结合患者当前的检查结果,决定为其进行全省首创的二次心脏手术——巨大心脏伴严重右心功能衰竭患者全胸腔镜下心脏三尖瓣置换术。
关键词三:全胸腔镜下“钥匙孔”手术
翁国星副院长带领鲍家银副主任医师等心外二科团队成员,术中仅凭借患者右侧胸壁两个1-50px大小的“钥匙孔”及一个100px 操作孔,在患者心脏不停跳的情况下,经过3小时精密操作,通过胸腔镜顺利完成老张的三尖瓣瓣膜置换。手术取得良好效果,最大可能避免了传统三尖瓣二次手术出现的心肌损伤、大出血、心脏破裂以及低心排血量综合征等严重并发症,手术创伤小、术后疼痛轻、恢复时间短,手术伤口美观。
截至目前,福建省立医院心外二科已经成功开展四例类似手术。这种全省首创的手术,标志着福建省立医院在微创心脏外科方面又上了一个新台阶,达到全国先进水平。

翁国星副院长带领心外二科团队进行电视胸腔镜再次三尖瓣置换手术

白色箭头为第一次常规手术切口,而且需要锯开胸骨
黑色箭头为第二次全胸腔镜下微创心脏手术伤口,无需损伤骨头

