新闻动态
您的位置: 首页 > 省立新闻 > 新闻动态

【医疗“创双高”加速年】第二届北京协和医院—福建省立医院消化内镜合作共建会议举行

发布时间:2018-04-28 09:39  点击数:

4月20日,第二届北京协和医院—福建省立医院消化内镜合作共建学术会议在北京协和医院召开。我院消化内镜中心梁纬主任带领14人的团队参加会议,邓万银副主任医师作手术演示。浙江大学附属第一医院许国强副院长,北京协和医院消化内科吴晰副教授、冯云路博士分别就《环形超声扫描操作技巧》《纵轴超声扫描技巧》《小探头操作技巧》作主题演讲。

 

邓万银医生在手术

 

许国强

浙江大学附属第一医院

 

吴晰

北京协和医院

 

冯云路

北京协和医院

 

现场交流

据梁玮主任介绍,此次共建的主题经过精心设计,“超声内镜的使用是我院消化内镜中心的薄弱点,希望在这次共建活动中,能够取长补短,在北京协和医院和其他医院超声内镜专家的手把手指导下,进一步提高超声内镜使用水平,为广大患者带来福音。”

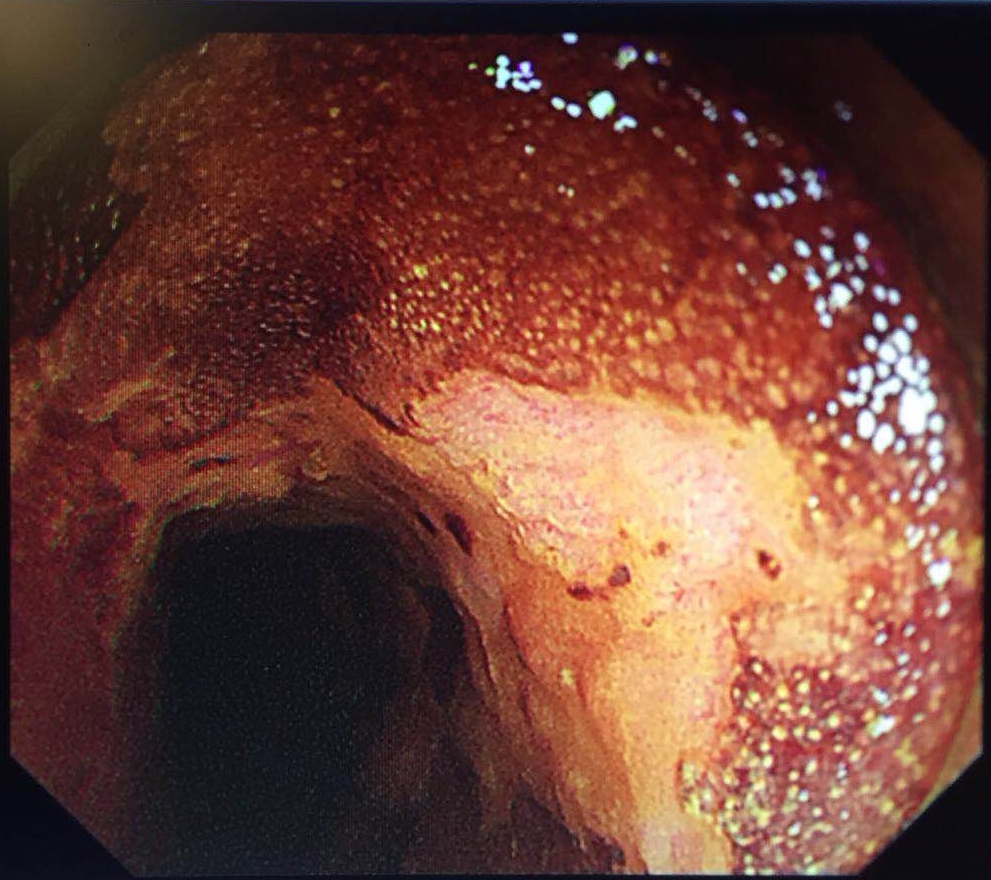
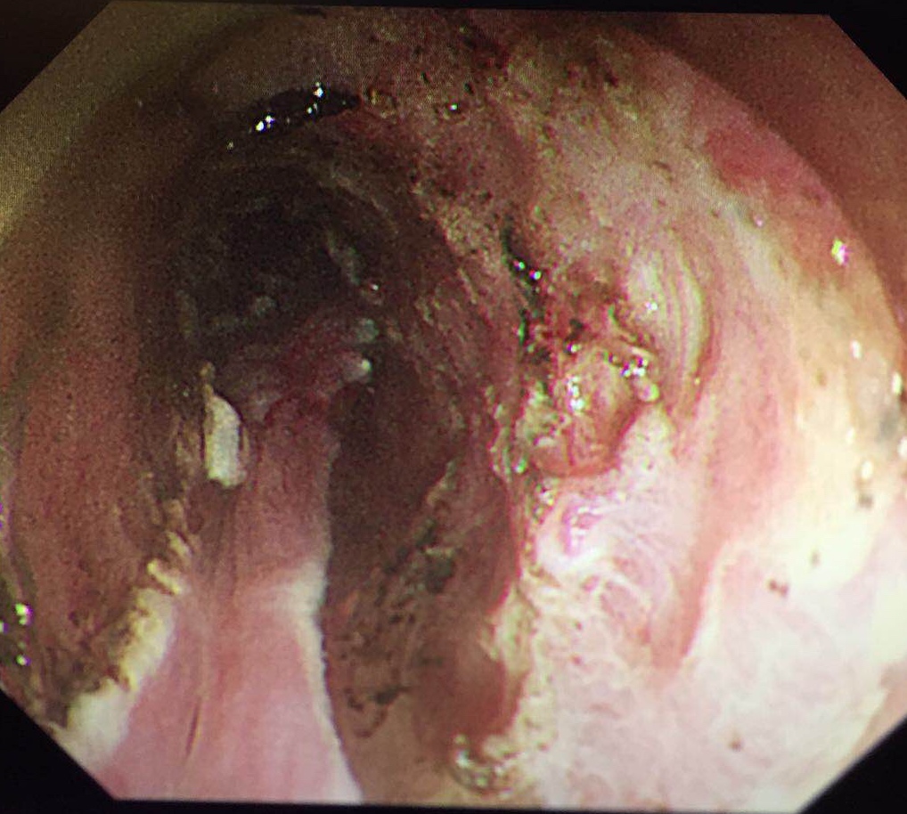
与此同时,北京协和消化疾病及消化内镜国际论坛暨第25届北京协和医院消化疾病与消化内镜研讨会在北京举行,国内外五十余位专家、五百余位代表参会。梁玮主任受邀作手术演示,完美演绎了一例病灶长达200px近环周的高难度早期食管癌“梁式ESD”治疗,向国内外同仁展示出精湛、创新的福建消化内镜技术,赢来阵阵喝彩。

 

本文原载于微信公众号《内镜江湖》(许京丽),有删减。


省立新闻

信息查询