新闻动态
您的位置: 首页 > 省立新闻 > 新闻动态

【省立医讯】福建省立医院儿外科完成高难度腹腔镜下胰腺切除手术

发布时间:2019-08-21 15:51  点击数:

近日,福建省立医院儿外科徐迪主任医师、李立帜副主任医师成功完成首例腹腔镜下保留脾脏的胰体切除术(Kimura术)+腹腔镜下胰尾空肠吻合术,术后一周患儿即康复出院。近年来,随着腹腔镜技术不断发展,微创手术得到了大范围应用,但胰腺手术由于它的解剖位置深、周围器官复杂、大血管多等因素,仍然被视为相对手术禁区,腹腔镜下保留脾脏的胰体切除术应用在成人患者上已属不易,而在小儿腹部外科领域的应用难度亦是成倍增加。

 

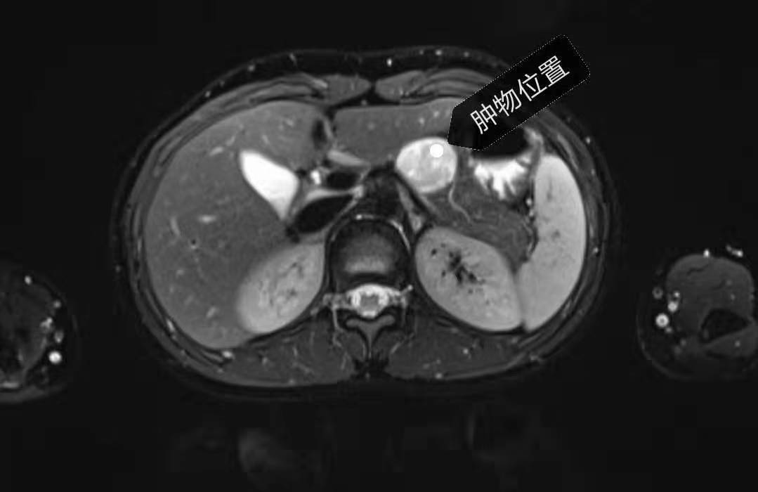
13岁女孩小叶(化名),由于上腹部胀痛难忍长达3个月,来医院检查后发现体内竟藏着一个3—4厘米大的胰体肿瘤,考虑“实性假乳头状瘤”可能,建议手术切除。常规的手术计划是连同胰尾和脾脏一并切除以降低难度,但创口面至少20公分以上。胰尾又含有大量的胰岛,切除后有患糖尿病风险。脾脏是人体的重要免疫器官,对维持人体正常血细胞水平、免疫功能等有重要作用。无论是从美观还是身体机能需要的角度,常规手术都不适合她。

 

由于脾动静脉与胰腺之间有许多的血管分支,一旦损伤极易造成脾脏坏死,小女孩的腹腔空间较成人相对更小,因此腹腔镜手术难度更大,对手术医生的技术要求也更高。经过充分的术前讨论,并制定周密的手术预案后,徐迪主任医师团队历时5小时,成功为患儿施行手术,仅留下4个1厘米大小的伤口。

 

该例手术的顺利完成填补了我院儿外科在该领域的空白,标志我院儿外科腹腔镜水平迈上新的台阶。


省立新闻

信息查询