2021年元旦前,在霞浦县医院手术室里,进行着一场复杂的胆道外科手术。手术团队由我院肝胆胰外科和霞浦县医院外科医师组成,该患者曾接受4次腹部手术,再次复发胆内外胆管结石,情况复杂,专家们分离粘连、胆管切开取石、胆肠吻合等一系列高难度手术操作一气呵成,成功为患者取出胆管大小结石数十枚,目前患者术后恢复良好,已顺利出院。
这是我院与霞浦县医院缔结紧密型医联体合作关系后,帮扶其开展的首例高难度外科手术,在提升县医疗机构服务能力的同时,受到了当地百姓的赞扬。
患者王奶奶,今年61岁,本该是享清福的年纪,却被反反复复发作的肝内外胆管结石折腾了半辈子,跑遍了全国大大小小的医院,经历了4次腹部手术。长年的病痛折磨,让她显得格外苍老和消瘦。近些日子,王奶奶又感觉到一阵阵的右上腹痛,那种蚀骨的剧痛不分白天黑夜地袭来,伴随着寒战和高热,仿佛要将她生命里的一切裹挟而去。
适逢福建省立医院对口帮扶霞浦县医院医联体建立,王奶奶一家人闻悉后,带着期盼而又忐忑不安的心情来到霞浦县医院就诊。CT检查显示:大大小小的石头已经挤满了肝内胆管,在胆总管里也填塞着几颗鹅蛋大小的结石,因为长期的胆汁淤积,肝脏已呈现严重的肝硬化表现,加之经历过多次胆道手术,县医院的医生立即意识到病情的严重性和手术治疗的复杂性。
以往,面对这样的疑难病例,基层医院的医生们只能建议患者转诊到省城大医院,甚至外省去治疗。如此一来,一方面势必加重患者的经济负担;另一方面,也使得基层卫生医疗机构的技术水平停步不前。但这一次,情况不同了,县医院立即启动了与福建省立医院的医联体会诊机制,王奶奶的临床资料第一时间被传送到省立医院的专家手里。
接到会诊任务的是我院肝胆胰外科的赖智德主任医师,了解王奶奶的病情后,他决定亲赴霞浦县医院为这位患者主刀完成这台复杂且风险较大的手术。远程会商制定手术方案,完善各项术前检查和术前准备,手术排期等一系列工作紧张有序地开展。

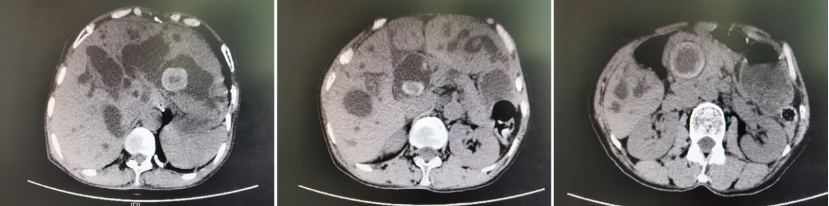
术前上腹部CT:肝内部分胆管及胆总管多发结石,伴胆道系统明显扩张
终于到了手术的日子,王奶奶在赖智德主任医师的陪同下被推进了手术室。她说,以前做手术动不动要跑上海、跑福州,舟车劳顿,一家子跟着折腾,很高兴这一次可以在家门口把这样的大手术给做了。
无影灯亮起,手术开始。手术团队由来自医联体两家单位的医生组成:省立医院赖智德主任医师、黄文涛主治医师,霞浦县医院蔡卫华副主任医师、杨光胜主治医师。患者开腹以后,医生们发现术前的预判是对的:多次胆道手术造成的粘连,使得连进腹和显露肝门结构都异常困难。赖智德主任医师带领手术团队如在荆棘密布的丛林里探路一般,仔细解剖分离出大大小小的血管、胆管、肠管、神经和淋巴结,接着切开胆总管,吸出由于结石梗阻变得浑浊污染的胆汁。一次次地冲洗胆道,一次次地取石,从鹅蛋大的结石到米粒、泥沙大小的胆泥逐个被取出,就像一个个窝藏在体内的罪犯被一网打尽。
分离粘连、胆管切开取石告一段落,怎样才能避免这个痼疾一遍遍地卷土重来?必须做“胆肠吻合”!专家们麻利地开始部署和投入下一阶段“战斗”,因为只有完成改道,才能从根本上解决胆汁引流不畅的问题,从而有效地避免术后胆石症的复发。
时间伴随着手术室里监护仪的滴答声静静流过,王奶奶的手术获得了成功!

手术团队将患者体内鹅蛋大的结石到米粒、泥沙大小的胆泥逐一清除
近年来,我院医联体的建设工作得到了长足发展,让更多患者不出县城,在家门口把病治好。同时,通过“输血式”帮扶,极大地推动了技术、人才、设备、管理等优势医疗资源的下沉,助力基层医院管理良性运行,技术水平快速提升。

