19岁小罗(化名)因一场严重车祸造成右小腿毁损伤,面临截肢。幸运的是,在福建省立医院骨一科徐杨主任医师团队的精湛技术之下,小罗最终保住右腿,目前恢复良好。
在一场严重车祸中,小罗右小腿被车轮碾过,造成其毁损伤。送入当地医院就诊,医生建议截去毁损的右小腿。但对于花季少年来说,如果从此缺少一条右腿,是自己及家人都无法承受的伤害。在他们强烈要求下,医生进行保肢清创及骨骼临时固定,但随后出现了严重的骨与周围软组织感染、骨髓炎,辗转省内多家大型医院,均被告知需要截肢保命。看到小罗期盼的眼神,经过认真分析患者病情,我院骨一科徐杨主任医师决定接下这个“烫手山芋”。

▲外院清创固定术后图
徐杨主任医师、许春财副主任医师在全面评估后,考虑小罗右小腿虽然皮肤肌肉溃烂、缺损,胫骨大段缺损,合并严重多重耐药菌(MRSA)感染,血管神经也均有较严重损伤,但残留胫后血管尚能维持远端血供,这将是小罗保住右腿的一线希望!
经过反复评估及推敲,徐杨主任医师决定分三步进行:首先分次清创,在保住残留血供及神经同时,彻底清创;利用长管状骨节段性缺损诱导膜再生技术(masquelet技术)修复骨缺损,最后通过肌腱转位替代、踝关节松解,恢复功能。这其中每一步都不容有失,困难重重,极具挑战。在医患通力配合下,多次按既定方案为小罗成功施行手术,小罗保住了右腿,经过近一年的正常行走生活,近日返院进行最后的钢板拆除手术。

1、骨水泥植入

2、骨缺损重建

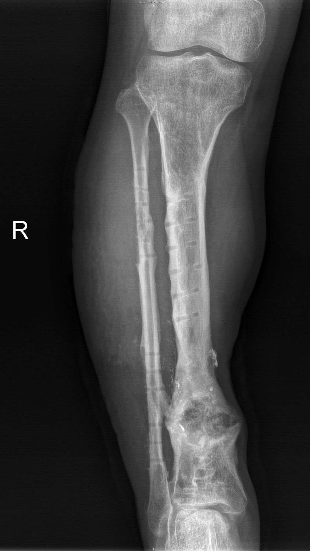
3、骨愈合

4、内固定去除
徐杨主任医师介绍,对于肢体毁损伤后期合并感染患者,保肢最大的难题是清创及骨与软组织重建,masquelet技术能够形成骨水泥诱导膜,不但能起到屏障作用,还含大量微血管,丰富血供,并能分泌各种促骨生长因子,具有成骨快、愈合率高的优点。尤其适合治疗长节段、严重感染性骨缺损病例。
多年来,我院骨一科徐杨主任医师团队致力于骨与软组织缺损修复研究,行成了独特的技术手段并制定了行之有效的诊疗规范,目前已成功救治多例大范围骨与软组织缺损病例,大大提高了保肢成功率。

