新闻动态
您的位置: 首页 > 省立新闻 > 新闻动态

【省立医讯】为心衰患者解决后顾之忧——福建省立医院陈林教授团队成功完成全省首例3T MRI兼容CRTD植入术

发布时间:2022-03-07 08:31  点击数:

起搏系统植入顺利,各项参数正常,手术成功!

近日,福建省立医院心血管内二科陈林教授团队成功完成全省首例、全国首批心脏再同步治疗兼有除颤功能的起搏器(3T MRI CRTD)植入术。该术式目前是起搏领域最复杂的术式之一,实现了“治心衰、防猝死、抗核磁”三重功能,不仅解决了患者的心衰及心脏性猝死问题,而且患者植入CRTD后,可以安全接受核磁共振检查,造福于广大冠心病、扩张型心肌病心衰患者。


罗源的黄依伯(化名)多年来一直饱受心衰的困扰,还不到60岁的年龄,却需要长期服药。最近几个月,他走一点路就开始气喘、疲惫,到我院详细检查后发现患有扩张型心肌病,左室收缩功能障碍,为慢性心力衰竭急性加重,必须进行起搏器治疗。

综合患者症状、病史以及各项检查结果,也考虑到黄依伯的病情和后续有做磁共振的需求,陈林教授团队经过充分的讨论决定为其施行“3T MRI CRTD”植入术。

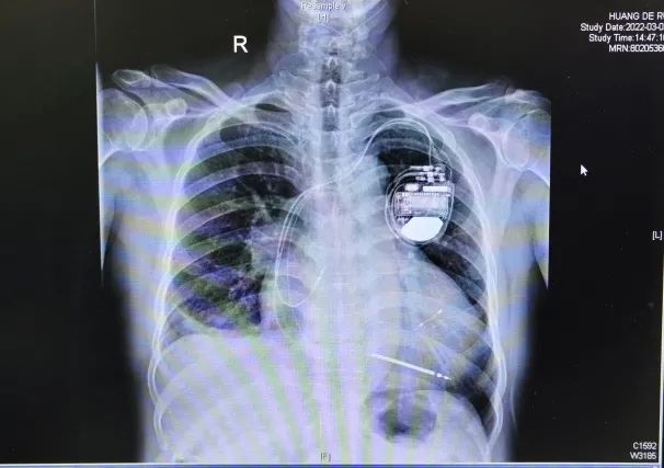
手术当日,在局部麻醉下,陈林教授团队将两根电极依次放入右心房、右心室,并用娴熟精湛的技巧,将最后一根电极精准放入弯绕的冠状静脉侧支血管,用时2个多小时即顺利植入最新仪器,患者各项参数检测正常,原先心电图QRS波宽度由208ms缩短至138ms。

▲患者植入3T MRI CRTD后的CT图

“下床走路都不会喘了,好久没有这么气顺的感觉了,整个人神清气爽。”目前患者恢复良好,心衰症状得到明显改善。

陈林教授表示,该技术对心衰患者意义重大,彻底改变了我国以往心衰病人植入CRTD后,无法安全接受3T磁共振检查的历史。从此,心衰患者可以放心接受更全面、精准的MRI检查,获取更佳的医疗救治方案。


—CRT—

心脏再同步化治疗

—ICD—

心脏复律除颤器

—MRI—

核磁共振检查

—CRTD—

(CRT+ICD)

心脏再同步化治疗合并有除颤功能的起搏器

—3T MRI CRTD—

(CRT+ICD+MRI)

具有心脏再同步化治疗、心脏复律除颤器和抗核磁共振三重功能的心衰器械疗法


据了解,心力衰竭是临床上高发的心血管疾病,特别随着我国人口老龄化加剧,其发病率不断增高。而心力衰竭引起的恶性心律失常是导致猝死的常见原因,CRTD可降低死亡率和猝死发生率,缓解心衰症状,提高生活质量等。由于心衰患者多为中老年人群,正是肿瘤、心脑血管疾病以及骨关节疾病的高发年龄,中国数据显示,对于心衰患者,10年内MRI(磁共振检查)扫描需求率高达41%。但长期以来,磁共振检查是传统CRTD植入术后的绝对禁区。MRI相比于CT,对软组织成像更优,无辐射更安全,是卒中、骨关节及软组织检查的首选成像方式。随着临床中对影像精准度要求的提高,3T MRI技术应运而生。此次植入的3T MRI CRTD,能够让患者在术后安全接受3T MRI核磁扫描的同时,该款机器还能够接受心脏核磁的扫描,对未来评估患者心衰的进展、心肌的情况具有重要意义。


专家简介

陈林

教授,主任医师,福建省立医院心血管内二科主任,国家心血管病专家委员会委员,中国医师协会心律学分会副主任委员,福建省医学会心电生理与起搏分会前任主任委员,福建省心血管病介入诊疗质量控制中心副主任,卫生部心律失常介入培训中心福建省立医院中心主任,培训导师,福建省房颤中心联盟主席。

陈林教授带领的福建省立医院心内科心律失常专业团队现有医生10名,其中主任、副主任医师7名,心律失常介入诊疗导师5名;是国内最早开展介入手术(射频消融和起搏器植入)的中心,累计手术量和年均手术例数均保持省内第一和国内领先;在保持传统手术优势基础上,积极探索和引进新技术,复杂心律失常消融、房颤冷冻导管消融、希氏束/左束支起搏、同步化起搏技术,其中房颤冷冻导管消融手术位居国内领先水平。



省立新闻

信息查询