
编者按
癌症是危害人们生命健康的最大杀手,随着医疗技术的进步,有的癌已能防能治;有的癌根治术越来越微创;有的癌治疗还不能简单“一刀切”……
近年来,医院提出了一系列省立特色的肿瘤防治解决思路,依托9个国家级临床重点专科、21个省级临床重点专科以及4个国家区域医疗中心福建项目建设,充分发挥综合优势,针对各类肿瘤治疗,集结优势学科群,构建更加优质高效的省立医疗服务体系,让人民群众看到解决问题的“真办法”,提升了群众就医获得感。
多学科齐发力,让癌症不再可怕!
晚期肝癌,曾被认为是不治之症,人人谈之色变。如今,随着医学的进步,靶向和免疫药物相继问世,中晚期肝癌治疗格局发生了重大改变,疗效也取得了突破性进展。
近日,福建省立医院肝胆胰外科严茂林教授团队成功通过“三联疗法”为一名晚期肝癌患者赢得手术机会,实施“右半肝切除术”完整切除肿瘤,开启无瘤生存的崭新人生。
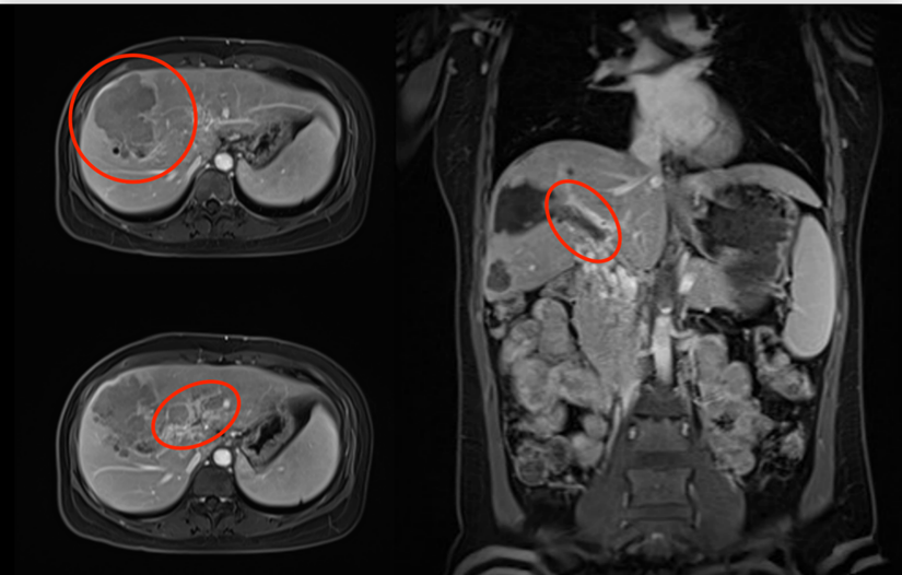
刚30岁出头的年轻妈妈刘女士(化名),因上腹部疼痛,一次就诊时被告知患上了肝癌。我院肝胆胰外科严茂林团队接诊后,经过进一步检查,确诊刘女士为“肝癌伴门静脉主干癌栓”。由于患者已进展为晚期肝癌,如果不经过治疗,可能很快就会出现黄疸、腹水,预计生存时间仅剩3~6个月。

▲影像检查

考虑到刘女士的病情,团队为她实施了“三联疗法”,即通过介入化疗、仑伐替尼和PD-1抑制剂的三联治疗方案,为患者赢得手术根治机会。令人惊喜的是,在近4个月的“三联疗法”治疗后,患者复查磁共振发现肝脏肿瘤和门静脉癌栓完全坏死,肿瘤标志物指标也降到正常范围。


▲“三联疗法”治疗后影像及肿瘤指标情况
经过多学科讨论,严茂林主任医师、吴嘉艺副主任医师和郑宇医师为患者实施了“右半肝切除术”,手术顺利,肿瘤被完整切除。术后病理检查证实肝癌和门静脉癌栓完全坏死,目前患者处于无瘤生存状态,只需定期随访复诊。满意的治疗结果,让患者得以自信地重返人生舞台,拥有更多陪伴家人、子女成长的美好时光。
我院肝胆胰外科严茂林团队长期致力于中晚期肝癌的综合治疗,较早提出“三联疗法”在中晚期肝癌中的运用,治疗效果显著,积累了丰富的治疗经验,极大提高了肝癌患者的生存率。该治疗方案具有起效快、有效率高,且转化率高等优势,已为近百名无法手术的中晚期肝癌患者创造了无瘤生存的机会。此前,团队关于“三联方案治疗中晚期肝癌”的研究成果登上肝癌国际权威期刊《Liver Cancer》 (JCR一区, IF:13.799)等著名期刊,共发表6篇高水平论文,其中JCR一区2篇、二区 4篇。

