

近日,福建省立医院神经外科魏德主任医师团队通过“介入+开颅”分站式杂交复合手术,为吴阿婆(化名)成功切除了长在颅底深部脑干旁,一个鸡蛋大小的脑膜瘤,标志着我院神经外科微创中心处理复杂颅底病变的能力达到省内先进水平,未来能为更多的患者提供高质量的医疗服务。
头疼、视力模糊
未必都因为年纪大
也可能是脑膜瘤作祟
67岁的吴阿婆近半个月来突然感觉持续头疼头晕、视力模糊,经头颅CT、颅脑MRI平扫+增强检查发现,她左侧颅底深部、小脑幕缘竟长了一个40X50X40mm的巨大肿瘤,邻脑组织严重受压,视觉中枢受到推挤,随时有突发脑疝的危险,必须马上手术。
但该肿瘤位置毗邻脑干、脑室等重要部位,常规开颅手术切除,可能会造成脑组织损伤遗留偏瘫、失语等严重并发症。加上吴阿婆还有高血压、糖尿病和严重的心脏病,麻醉风险高,多家医院都表示,手术凶险万分,要做好最坏打算。
迎难而上 杂交手术保驾护航
魏德主任医师接诊后,他仔细阅片分析病情,耐心向吴阿婆和家属解释脑膜瘤的相关知识和手术存在的风险,在和家属商量后,决定迎难而上,为其量身定制杂交手术方案:血管内介入治疗栓塞供血动脉+开颅手术切除肿瘤。

术前通过介入找到肿瘤供血动脉,精准栓塞
为了确保手术成功,神经外科术前与麻醉科、导管室等相关科室进行充分沟通,做好麻醉、备血等手术准备。首先进行全脑血管造影术,吴世忠副主任医师术中顺利找到肿瘤主要供血动脉颌内动脉分支,成功栓塞,阻断肿瘤80%的供血。第二天马上进行全麻下开颅肿瘤切除术,在魏德主任医师、郑诗豪副主任医师、蔡振俊医师的共同努力下,历时5小时就成功全切肿瘤。术后麻醉清醒患者即语言流利、神志清醒,肢体活动正常,目前已康复出院。

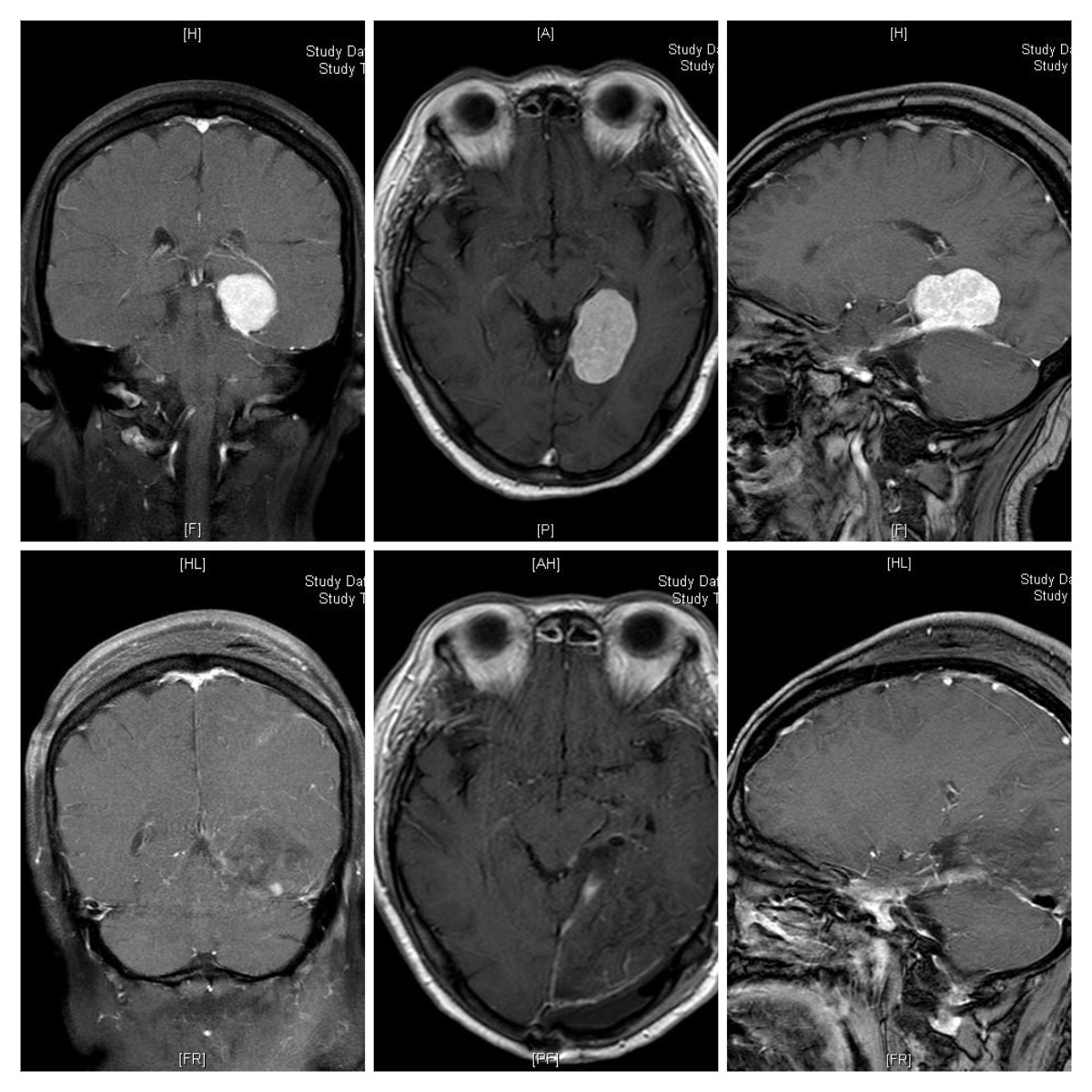
术前(上三张)术后(下三张)增强磁共振对比,白色肿瘤物完全切除干净
引起重视 持续头疼应及时就医
脑膜瘤属于良性肿瘤,生长慢,病程长。因肿瘤呈膨胀性生长,病人往往以头疼和癫痫为首发症状。根据肿瘤位置不同,还可能出现视力、视野、嗅觉或听觉障碍及肢体运动障碍等。由于肿瘤生长缓慢,所以往往会出现肿瘤长得很大,而临床症状还不严重的情况。
魏德主任医师提醒,一旦感觉持续头痛,及突发癫痫或伴随视力减退的成年人,应及时就医,必要时行颅脑CT或MRI检查,做到早发现、早治疗、早康复。
我院神经外科是集介入技术与开颅技术于一体的科室,能同时熟练地实施脑血管病开通/栓塞、脑肿瘤栓塞/开颅切除。通过制定个性化方法,“双管齐下、疗效叠加”,高效“清除”病灶,为患者健康保驾护航!
专家简介

魏德
主任医师、博士生导师
神经外科负责人
德国国际神经科学研究所访问学者
学术任职:
福建省海医会神经微侵袭治疗专业委员会主任委员
中国医师协会周围神经专业委员会委员
中国医师协会神经外科微侵袭神经外科专家委员会委员
欧美同学会医师协会神经肿瘤专家委员会常委
福建省医学会神经内镜专家委员会副主任委员
擅长诊疗:
垂体瘤、三叉神经痛、面肌痉挛及各种颅脑肿瘤疾病的微创治疗。

