

82岁的陈奶奶最近总觉得腹胀,食欲减退,人也瘦了好几斤。在外院做了胃镜发现胃里竟然长了个将近7cm的巨大肿物,活检病理提示为腺癌。医生建议陈奶奶马上进行外科手术,但陈奶奶本身有心梗,年纪又大,便想寻求是否有更微创的方式解决。

▲胃镜图片

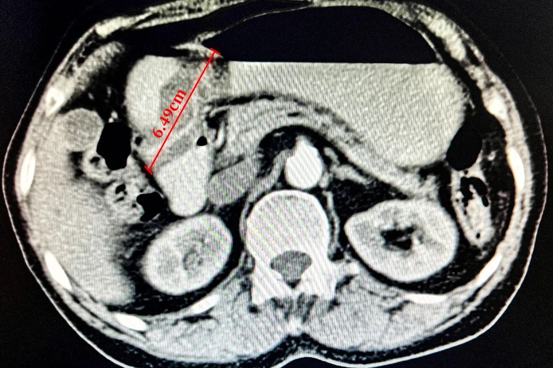
▲CT检查
消化内镜中心邓万银主任医师接诊了陈奶奶,通常大于4cm以上的肿物需要外科治疗,但细心的她发现肿物根部有个蒂部,可能是腺瘤癌变所致,且CT显示淋巴结未转移,所以如果能切除蒂部,就可以完整拿掉肿物。
胆大心细,实力护航
当然也有一定风险,特别是术中大出血风险及陈奶奶的心脏问题,但家属选择微创治疗的意愿强烈,对医疗团队表达了充分信任。邓万银主任医师决定为陈奶奶行内镜黏膜下剥离术切除肿物。
手术当天,在麻醉科医生的保驾护航下,得益于邓万银主任医师丰富的经验,仅用1小时便顺利切除肿物,术中出血量极少。术后第2天陈奶奶便觉得腹胀缓解,顺利出院。术后病理也提示肿物完全切除干净,再次彰显我院消化内镜省内前列的技术实力。
数质同升,领跑全省

年诊疗量10万例次
福建省立医院消化内镜中心始建于2005年,是福建省消化内镜中心、福建省临床重点专科、中华医学会消化内镜学分会的培训基地、福建省胃肠道肿瘤早诊早治及筛查联盟的牵头单位等,中心拥有最先进、最齐全的消化内镜诊疗系统,2023年完成消化内镜诊治量超10万例次,内镜微创手术近2000例,居全省首位。
亚专业齐全
中心拥有齐全的亚专业团队,开展的内镜诊疗技术在国内处于先进水平,领跑全省,始终追求将内镜诊疗做全、做优、做强。目前内镜手术治疗涵盖食管、胃、十二指肠、小肠、结直肠等息肉、早癌、粘膜下肿物、神经内分泌瘤、支架植入、抗反流手术等治疗,还常规开展ERCP下胆胰管碎石取石、支架植入等。
学科带头人领先
现任学科带头人梁玮教授任国家消化内科专业质控中心专家委员会委员(全省唯一)、中华医学会消化内镜学分会委员,中华消化内镜学会早癌协作组委员、中国医师协会消化内镜培训基地主任、国家卫生计生委癌症早诊早治专家委员会食管癌专家组成员、福建省胃肠道肿瘤早诊早治及筛查联盟主席等。以第一作者及通讯作者发表SCI及国内权威期刊数十篇,多次获得福建省科学技术进步奖、厅级创新奖等。
持续提高就医体验
2023年中心开设“消化内镜专科门诊”,实现“开单-咨询-开处方”等一站式服务,减少患者奔波及二次挂号;进一步落实分时段诊疗工作,让患者等待时间大幅缩短,并承诺检查后1小时出报告;成立全省首个“消化内镜护理专科”,今后将更好为困难肠道准备、胃造瘘管护理、内镜术后复查、随访人群提供专科性的解答和帮助。

