

肝癌破裂出血
是肝癌最严重的并发症之一
死亡率极高
需要到医院及时诊治
当这种紧急情况
同时发生高龄老人身上
又该如何处理?
近期,我院肝胆胰医学中心陈忠副主任医师团队联合多学科为年过九旬的洪老太太(化名),精准切除破裂出血的肝癌病灶,让她脱离生命危险并顺利康复。

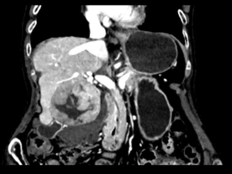
治疗前

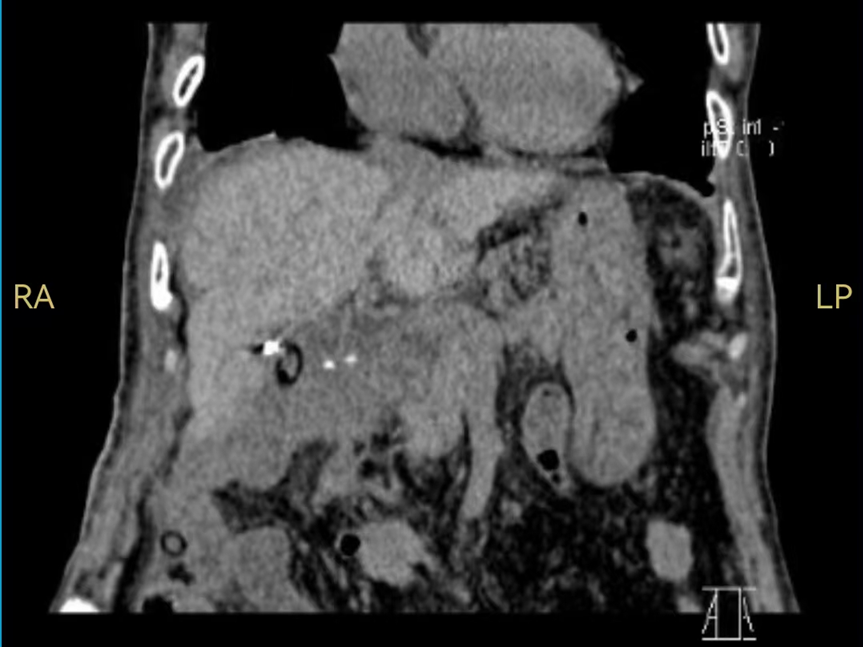
治疗后
腹部剧烈疼痛
一查是肝癌“破”了
已90岁高龄的洪老太太,被突如其来的腹部剧痛袭击,急诊入院检查发现她的肝门区有一个7.1厘米的巨大肿瘤,并不幸发生自发性破裂,导致内出血,情况十分凶险。
多学科团队迅速介入,全力以赴。肝胆胰医学中心陈忠副主任医师、林彩锋主治医师、洪嘉明医师接诊后,仔细评估老太情况,立即给予严格卧床、止血等紧急处置,密切监护生命指标及出血情况。所幸一系列治疗措施后老太的出血暂时停止、腹痛症状也得到缓解。
多团队联合制定治疗方案
精准切除肝癌
由于患者年龄大、心脏不好,体重仅40 Kg,身体条件较差,如果肿瘤继续生长再次大出血无疑是压垮患者的“最后一根稻草”,因此后续的治疗方案十分关键。
相比介入栓塞治疗,手术切除是最彻底、效果最好,但手术创伤、风险相对来说最大,洪老太一家人讨论后决定外科手术彻底切除肿瘤。
尽管手术困难重重大,在肝胆胰医学中心王耀东教授、田毅峰教授带领下,陈忠副主任医师团队缜密评估,组织麻醉科、重症医学科、手术室等多学科讨论,最终制定完整的手术、麻醉及术后诊治方案。术中,团队在肝门区附近精雕细琢保护重要的入肝血管主干并完整切除肝癌病灶,吸尽周边积血并冲洗干净。术后老人顺利复苏,令人振奋的是,她在术后短时间内就恢复到生病前的状态。
肝癌破裂致死率较高
及时诊治是关键
陈忠副主任医师介绍,肝癌为我国常见恶性肿瘤之一,肝癌自发破裂出血是肝癌最严重的并发症,如果仅采取保守治疗,死亡风险极高。对于肿瘤可切除、肝脏功能尚好、血流动力学保持稳定的肝癌患者,我们通常建议优先选择手术治疗。但手术之后,患者仍需定期进行复查,以降低癌症复发的风险,并且应严格按照医生的指导,接受精准治疗,以确保最佳的治疗效果。
专家介绍

王耀东 教授
二级主任医师、博士生导师
享受国务院政府特殊津贴专家
福建省“百千万人才工程”和省跨世纪学术带头人人选、福建省优秀专家、福建省保健专家,中国医师协会第一届全国委员、中国抗癌协会胆道肿瘤专业委员会全国委员、国际肝胆胰学会中国分会全国委员 ,福建省抗癌学会副理事长、福建省移植分会常委、福建省肝病学分会常委、福建省外科分会肝胆外科学组第一届组长。
擅长诊疗:肝胆胰系统系统恶性肿瘤及其它常见病的诊治、微创外科技术等。
门诊时间:周三上午(特需门诊)、周五上午(东街院区)

陈忠 副主任医师
福建省海峡肿瘤防治科技交流协会肿瘤康复分会委员,主持多项省级科研课题,发表多篇SCI和中文核心期刊文章,获院内“微创胰腺手术”新技术创新奖。
擅长诊疗:肝胆胰肿瘤防治和复杂肝胆管结石治疗等。
门诊时间:周五上午(东街院区)

