

视力下降
看东西越来越模糊……
47岁的张女士(化名)
怎么也没想到
困扰自己许久的视力问题
竟然是颅内肿瘤惹的祸!
近日,我院神经外科为张女士成功开展神经内镜下经鼻蝶窦鞍结节脑膜瘤切除术,困扰她已久的视力问题终于得到改善。
因为视力问题,张女士辗转多家医院眼科却始终没有得到明确的诊断。后来,在一位眼科医生建议下,她做了颅脑CT检查,结果发现自己脑内竟然有个阴影!为寻求进一步治疗,张女士找到我院神经外科王开宇主任医师。
经过颅脑磁共振平扫+增强后,发现鞍上及前颅窝底占位性病变,考虑鞍结节脑膜瘤。通常处理方式为开颅手术切除,但张女士及家属对常规开颅手术抱有恐惧心理,且开颅手术对患者发际外的容貌有一定的影响。
有没有既保持容貌
又完整切除肿瘤的方式呢?
王开宇主任医师立即进行多学科联合诊疗(MDT),与麻醉科、放射科、内分泌科等多位专家讨论,分析了不同手术入路的特点后,决定为患者采取最佳的手术方式,即神经内镜下经鼻蝶窦鞍结节脑膜瘤切除术。
经过周密的手术计划,凭借高超的手术技巧,王开宇主任医师团队在未伤及颅内动脉和视神经的前提下,利用神经内镜技术,精准地将瘤体切除,成功完成了手术。术后,张女士双眼视力一天天好转,较术前得到了很大改善。目前张女士已康复出院,没有出现颅内感染和脑脊液等并发症,垂体功能也完全正常。

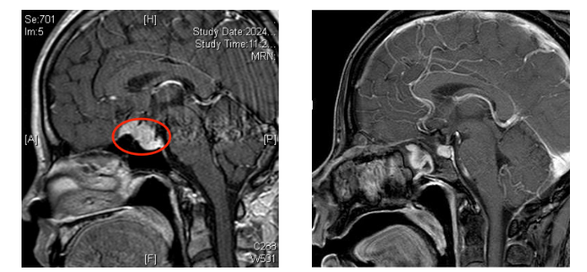
▲术前术后影像学对比,可见肿瘤完全切除
我院神经外科神经内镜学组开展内镜肿瘤手术已有10余年,通过不断探索内镜技术,目前积累了大量内镜下经鼻蝶窦鞍区附近肿瘤切除术的手术经验。随着神经内镜技术不断成熟,神经外科团队将以更加微创、安全的理念为群众健康保驾护航。
科普时间
什么是鞍结节脑膜瘤?
鞍结节脑膜瘤占颅内脑膜瘤5%-10%左右,女性发病率约为男性的2倍,鞍结节脑膜瘤其肿瘤的生发部位即肿瘤基底位于鞍结节,可匍匐长向前颅窝底。绝大多数患者首发症状为进行性视力障碍甚至失明,常合并头痛头晕症状,部分患者可出现反应迟钝、记忆力下降等慢性认知功能障碍。
神经内镜下经鼻蝶鞍结节脑膜瘤
切除术优势?
1、通过鼻腔天然通道到达前中颅底病变,无需开颅,手术通路创伤小,减少神经血管损伤的风险,出血量少,可在机器人导航辅助下精准定位肿瘤范围及周围结构,微创安全。
2.神经内镜可以清楚观察肿瘤及其周边的血管、神经及脑组织结构,甚至比发丝还细微的动静脉及神经根丝都清晰可见。全方位多角度观察肿瘤切除程度,真正做到肿瘤实体、受累硬脑膜及增生骨质完全切除,复发率低。
3.神经内镜手术可以完全打开视神经管下壁、内侧壁和外侧壁,做到180度-270度视神经管减压,对长入视神经管内的肿瘤可以做到直视下切除,从而更好保护神经视交叉功能。

