新闻动态
您的位置: 首页 > 省立新闻 > 新闻动态

【胸部医学中心·专病有方】防微杜渐,警惕体检报告中“隐蔽的角落”——间质性肺炎

发布时间:2024-04-29 16:39  点击数:

体检报告中

存在一些“隐蔽的角落”

例如胸部CT报告显示“间质性肺炎”

但是

这个“角落”却不容小觑

这可能是间质性肺疾病的早期表现——

肺间质异常


什么是肺间质异常?

肺间质异常是一个影像学名词,是未疑诊间质性肺疾病(interstitial lung disease,ILD)的患者在行胸部CT检查时,偶然发现的肺间质异常改变。肺间质异常是间质性肺疾病的早期表现,如果患者不予以重视,错过最佳治疗时间,疾病的发展可能会导致呼吸系统症状、肺功能受损,甚至增加死亡风险。

研究显示,肺间质异常的影像学进展率分别为随访2年20%,4年43.6%,5年63%。间质性肺疾病的疾病负担沉重,但如果在其早期表现——出现肺间质异常时,尽早开展诊疗,则能大大降低病情的发展,提高痊愈的可能。


病例介绍

今年68岁的李大伯,平时身体健康,2019年做胸部CT时,发现双肺少许间质性肺炎改变,因为没有出现咳嗽、咳痰、气促等症状,李大伯对此并未在意。2023年11月开始,李大伯出现轻微咳嗽,于是再次进行体检。胸部CT显示,双肺间质性肺炎病变较前增多、进展,进一步查肺功能显示限制性通气功能障碍、弥散功能中度下降,李大伯这下慌了,遂来我院接受进一步检查。

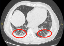
▲2019年胸部CT显示,少许间质性肺炎

(画圈处)改变

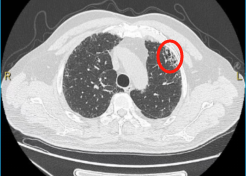
▲2023年胸部CT显示,双肺间质性肺炎

(画圈处)病变较前增多、进展


通过完善自身免疫抗体筛查、气管镜检查等,同时经呼吸与危重症医学科、风湿免疫科、放射科等间质性肺疾病多学科讨论,最终诊断“特发性非特异性间质性肺炎”。李大伯在接受口服抗炎、抗纤维化药物治疗后,并定期评估肺功能及胸部CT,目前评估病情逐渐改善。


肺间质异常是一种慢性进展性疾病,但必须予以重视。如果在体检报告中发现了“间质性肺炎”——肺间质异常,应及时到间质性肺疾病专病门诊就诊,进行系统的治疗和管理。值得注意的是,肺间质异常的早期症状往往不明显。随着病情的发展,患者可能出现以下症状:

1. 呼吸困难:尤其是在活动后或劳累时出现气喘、气促等症状。

2. 干咳:无痰或少痰的咳嗽,持续时间较长。

3. 胸痛:部分患者可能感到胸部隐痛或不适。

4. 乏力:全身乏力、容易疲劳。

5. 体重减轻:不明原因的体重下降。

一旦出现上述症状,建议大家及时就诊,寻求呼吸专科从事间质性肺疾病亚专业的医生进行诊断和治疗。


学科介绍——

间质性肺疾病/弥漫性肺实质性疾病

多学科诊疗团队

我院胸部医学中心成立了间质性肺疾病/弥漫性肺实质性疾病多学科诊疗团队,为患者提供规范化、科学化、个性化的治疗。MDT团队在弥漫性肺实质性疾病及其他罕见病的临床鉴别及诊治能力达到省内领先水平,90年代初即开展高压氧下肺泡蛋白沉积症大容量肺灌洗治疗。

作为中国罕见病联盟成员单位,接诊全省各地疑难间质性肺疾病及罕见病患者,规范开展临床、影像、病理多学科讨论模式,配以床旁气管镜检查、经支气管镜冷冻肺活检、经支气管肺活检、径向超声引导下肺活检、EBUS-TBNA,以及胸腔镜肺活检技术,大大提高了该病种的鉴别诊断能力,在国内率先诊断并报道多种罕少见病例。2022年,团队荣获全国“间质性肺疾病规范化诊疗中心建设优秀单位”荣誉。

作为国家级临床重点专科、委省共建国家呼吸区域医疗中心、福建省呼吸医学中心、福建省呼吸内科医疗质量控制中心,目前胸部医学中心架构完整,包括呼吸与危重症医学科临床部、肺功能管理中心、呼吸内镜中心、呼吸ICU、胸外科病房,为肺间质病全程管理提供可靠保障。中心增设了间质性肺疾病专病门诊及多学科诊疗门诊,承接两项全国多中心“特发性肺纤维化”药物临床研究项目,为间质性肺病患者提供更多的抗纤维化治疗新方法。为攻克难题,我们一直在努力,竭诚为患者提供最专业、最先进的医疗服务。



省立新闻

信息查询