


近日,我院骨科与运动医学中心徐杰教授带领脊柱外科团队在脊柱微创领域内再攀高峰,成功完成福州首例结合“天玑”骨科手术机器人和显微镜下,精准微创颈椎后路Keyhole手术。
76岁的林阿姨(化名),近2年来一直被颈肩背酸痛和左上肢麻痛所困扰,辗转多家医院,做了消炎止痛、康复针灸理疗等各种处理,症状虽有好转,但依然反复发作。最近一月,林女士麻痛加重,夜里睡觉连平躺都困难,左手只能一直被托举着,经过保守治疗等治疗,可疼痛仍无法缓解,这让她近期都没法好好休息。

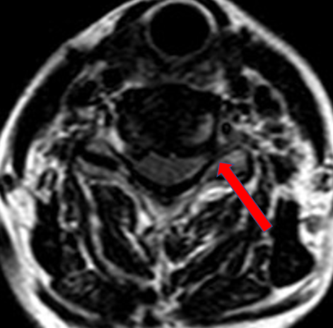
完善MRI检查后发现,颈5/6椎间盘向左外侧突出,神经根出口狭窄。徐杰教授带领团队查房详细了解患者病情和诉求后,认为其符合微创手术的适应症,可以避免开放融合手术,决定为其实施天玑机器人导航辅助显微镜通道下颈椎后路Key-hole手术。
01 利用导航定位——更精准、更安全
利用天玑机器人进行术前规划设计,相比传统手术,“天玑”机器人能快速、精准确定穿刺靶点,锁定病灶,如同给医生戴上“透视眼”。它还能实时监控术中手术细节,减少不必要的损伤,从而达到精准减压的目的。


02 手术操作情况——更小创伤、更快恢复
术中精确定位后建立通道,显微镜下磨钻精准磨除椎板上下缘,显露并去除黄韧带和产生压迫的髓核组织,手术过程顺利,全程可视,脊髓零侵袭,神经根减压充分。
术后6小时,患者就可以下床活动,上肢疼痛的症状完全缓解,术后第一天,患者就办理出院。



▲术后门诊复查,林阿姨上肢活动情况已完全康复
骨科与运动医学中心主任徐杰教授介绍:“颈椎和脊髓是人体重要且危险的部位,因此颈椎手术要严格把握适应症,正规、系统的保守治疗应是患者的首选方法,但对于经过3个月到半年保守治疗失败或者症状反复发作、疼痛严重影响工作生活的患者来说,就需要通过手术来解决。
什么是颈椎后路Key-hole手术?
颈椎后路Key-hole手术有严格的手术适应症,适用于椎间盘向外侧游离脱出,或颈椎退变增生的骨赘突入椎间孔压迫神经根的后路减压手术。Key-hole手术不仅仅是指切开的范围大小,利用天玑机器人导航下完成的脊柱微创手术,是在精准定位的基础上确定合适的手术路径,最大限度的限制暴露范围和最小程度的牵拉神经组织。让高精尖手术日益成熟,并不断创新应用范围,让广大患者受益。


脊柱神经肿瘤专业组
01 福建省立医院骨科于上世纪80年代在省内率先开展脊柱疑难手术,也是国内最早开展的单位之一。
02 2011年创建福建省第一个脊柱手术神经电生理监护中心。目前,对于寰枢椎脱位、脊柱侧弯畸形、脊柱神经肿瘤、复杂颈椎病、脊柱退变疾病的安全监护手术例数已达4000余例,位居全省第一。
03 2014年起,徐杰教授创新的“椎管内肿瘤的Keyhole手术”被纳入中国医师协会脊柱外科标准培训课程,在全国巡讲推广,该微创手术改变了传统的治疗效果,大幅度降低了医疗费用,达到安全的快速康复出院。该项目荣获福建省科技进步一等奖和福建医学科技奖一等奖。
04 2021年完成全球首例手术机器人应用于胸椎椎管内肿瘤切除的微创Keyhole手术。
05 目前骨科与运动医学中心脊柱外科分有五个亚专业,分别是脊柱脊髓损伤24小时救治,脊柱畸形矫形、脊柱骨肿瘤、神经肿瘤、椎间盘微创治疗。
06 2023年获评国家卫生健康委员会加速康复外科骨科试点医院“突出贡献奖”。


