新闻动态
您的位置: 首页 > 省立新闻 > 新闻动态

【胸部医学中心·疑难重症】男子高烧月余,胸腔里挖出巨大“畸胎瘤”!

发布时间:2024-05-20 17:18  点击数:

近日,胸外科在金山院区通过多学科合作,成功救治了一名复杂巨大畸胎瘤破入左上肺的疑难重症病人,为患者带来了新生。

患者文先生做梦都没有想到,困扰了他13年的“肺结核”,竟然是因为他胸腔内有一个直径约12厘米的“寄生胎”在作祟。回想起2个多月以来,他因剧烈咳嗽,咳黄脓痰,伴高热、气促等症状,无法平卧,“一天没睡两三个小时,太痛苦了”文先生的母亲心疼地说。

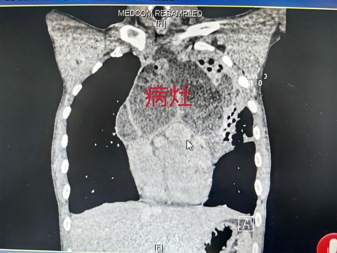
文先生的CT检查显示,他的前纵隔有个直径12cm的巨大占位。

但究竟这个占位是肿瘤还是纵隔脓肿?会是什么肿瘤?有没有肺结核?是不是肺结核合并肺部感染?是不是肺部感染引起肺脓肿、纵隔脓肿?能不能手术?

面对如此棘手的病例,需要的是一站式的解决方案。我院胸部医学中心,积极整合各学科专家优势资源,在各种肺部肿瘤的综合诊治等疑难危重症的诊治方面技术实力处于省内领先,通过常态化开展多学科联合会诊(MDT),确保每位患者都能得到最全面的诊疗服务。

胸外科潘小杰主任团队的张振龙副主任医师接诊了文先生,在潘主任指导下发起多学科联合会诊(MDT),呼吸与重症医学科、感染科、放射科、重症医学科等科室专家,共同参与,为文先生病情出谋划策。


多学科联合会诊(MDT)

纵隔占位考虑畸胎瘤,且肿瘤可能与左上肺的气管相通,一躺低即有少量囊液或肿瘤组织进入病人气道,造成剧咳。久而久之,造成左上肺严重感染,并通过气道影响到其他肺叶。通过多次送检,患者肺结核的指标均为阴性。针对原先抗真菌感染治疗效果不佳,专家也调整了抗感染方案。

文先生的病情稳定以后,复查胸部CT显示前纵隔肿瘤较前缩小了。

那目前是不是手术时机?肺部感染灶能不能一并切除?肺功能这么差,肺要切多少?术后能不能脱离呼吸机?

为了进一步确保手术及后续治疗的顺利进行,MDT会诊再次进行,这次麻醉科专家也加入了讨论。他们共同制定了详细的手术方案,并确保了手术过程中的各个细节都得到了充分的考虑和准备。

炎症后肿瘤及肺组织较脆、易出血,肺与胸壁致密粘连,都给手术增加了难度。在手术中,可以看到胸骨、双上肺、心包、左无名静脉、上腔静脉等紧密粘连,几乎无间隙,而肿瘤呈多房分隔状,在里面发现了黄泥样脂肪组织及毛发等。在麻醉科的保驾护航下,医疗团队精湛技艺和手术室护士密切配合,手术取得了圆满成功。术后在重症监护室的精心治疗下,文先生很快拔除了气管插管,目前病情已好转,顺利出院。


省立新闻

信息查询