新闻动态
您的位置: 首页 > 省立新闻 > 新闻动态

【骨科与运动医学中心·精准微创】化脓性骨髓炎后遗症折磨阿伯五十多年,如今终于无痛走路

发布时间:2024-06-17 08:21  点击数:

“我去了很多医院,都没有找到合适的办法,没想到这么多年后,我还能有重新走路的一天。”王大伯(化名)十分感谢骨科与运动医学中心,因为一场手术彻底改变了他的生活!


65岁的王大伯自幼左股骨患有化脓性骨髓炎,由于当时没有得到妥善治疗,落下后遗症,50多年来一直跛行,四处求医,收效甚微。最近出现髋关节疼痛,甚至几乎无法走路,严重影响正常生活,于是,他又一次在家人的陪伴下四处寻找治疗方法,几经打听,来到了我院骨科与运动医学中心邱美光主任医师的门诊咨询。

因其左下肢三大关节(髋、膝、踝)均出现畸形,不等长,大大增加了手术难度。得益于我院在微创关节置换的先进技术和丰富经验,徐杰教授带领团体周密术前设计,成功为王大伯行微创髋关节置换术,术后第三天他便可拄拐下地行走。

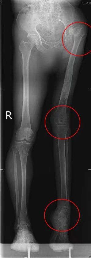
术前左下肢三大关节(髋、膝、踝)全部畸形

术前行走困难疼痛的王大伯,术后步态轻松,重新下地行走

01 什么是化脓性髋关节炎?

化脓性髋关节炎为常见的炎性关节疾病,好发于儿童,多急性起病,进展迅速,若早期治疗不当,其结果均以关节软骨破坏,关节破坏,流脓窦道长年不愈,最终继发髋关节骨关节病。常伴有双下肢不等长,髋关节发育不良、畸形,关节僵硬、强直,肌肉萎缩,病理性关节脱位等并发症。

02 骨科与运动医学中心技术优势?

我院骨科与运动医学中心是国家临床重点专科、国家卫健委加速康复骨关节外科全国示范中心,率先开展微创不切开肌肉的关节置换,手术例数居全国第一,荣获国家卫生健康委员会加速康复外科骨科试点医院“突出贡献奖”。


专家介绍

徐杰

二级主任医师、教授、医学博士

博士生导师、副院长

骨科与运动医学中心主任

国家卫健委突出贡献中青年专家

学术任职:

国家创伤医学中心质控委员

福建省创伤质控中心主任

国际AOspine生物力学研究会理事

亚太显微外科联盟委员

中国医师协会骨科医师分会委员,脊柱疼痛学组副组长

中国医师协会显微外科医师分会委员,显微神经脊柱外科学组委员

福建省骨科脊柱神经与关节疾病临床研究中心主任

擅长诊疗:

脊柱侧弯、后凸畸形的手术治疗;颅底与环枢椎疾病椎间盘突出、椎管狭窄症微创手术;臂丛及周围神经损伤腕管综合征;神经瘫痪功能重建手术。创新脊柱镜下微创手术获省科技进步一等奖;发明内镜下全髋置换,微创不切开肌肉髋、膝人工关节置换获国家卫健委加速康复外科突出贡献奖。

邱美光

主任医师、医学博士

硕士生导师

骨科21病区(金山院区)负责人

学术任职:

福建省医学会显微外科分会常务委员 

中国中西结合学会脊柱融合组委员    

擅长诊疗:

骨关节疾病、骨性膝关节炎、类风湿性关节炎、创伤性关节炎、强直性关节炎、髋臼发育不良、先天性髋关节脱位、股骨头坏死等骨与关节疾病的诊治;运动损伤疾病、半月板及韧带损伤、肩袖损伤、踝关节韧带损伤等的诊治、及骨科术后运动康复有相当的造诣。


省立新闻

信息查询