

郑先生怎么都没想到
一个因为骨折引发的背痛
竟然差点让自己高位截瘫
泉州的郑先生(化名)一年前不幸遭遇车祸,导致第12胸椎(T12)压缩性骨折,由于骨折并不严重,当时采取保守治疗。不久后,郑先生开始背痛且症状逐渐加重。他多次到当地医院就诊,被告知可能是上次脊柱骨折引起的后遗症,通过针灸理疗即可。
最近,郑先生背痛症状再次加重,还出现双下肢乏力、行走不稳的表现,这引起了他的担心:“难道有其他问题?”经过多方打听,来到我院骨科与运动医学中心就诊。
徐杨主任医师接诊后,发现其双下肢感觉正常,肌力也接近正常的水平,但双下肢的腱反射亢进,病理反射也呈阳性表现,这应该不是简单的陈旧的胸椎骨折问题,很有可能是上位的运动神经元如胸椎甚至颈椎的脊髓病变引起的。于是马上为其安排住院,进行详细检查。
01 病情进展迅速 一查竟是癌转移
没想到郑先生病情迅速进展,住院第二天,就出现无法行走,不能排尿,双下肢肌力降到0-I级的情况。这是脊柱外科最为凶险的病情变化之一,如果不能及时明确诊断并进行有针对性的治疗,郑先生将面临无法逆转的高位截瘫。
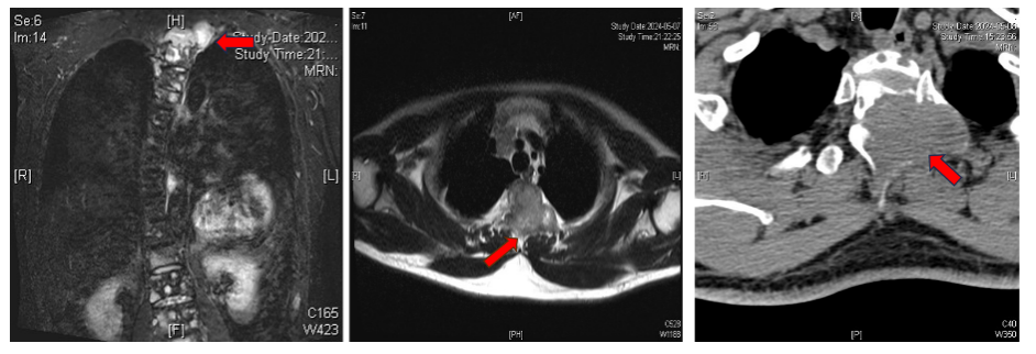
徐杨主任医师团队迅速为其安排磁共振、全身骨扫描(ECT)和PET-CT等检查。发现患者下肢瘫痪是因为第1-2胸椎肿瘤压迫脊髓导致的,而且全身其他多处骨质也被转移破坏了,考虑是胸腺癌多发转移。

多个检查考虑患者癌转移,红色箭头为肿瘤位置
02 争分夺秒手术 为后期治疗争取宝贵时间
检查结果出来后,徐杨主任医师马上召集胸外科、肿瘤内科、麻醉科、病理科等学科进行多学科会诊,决定通过手术先解决患者的脊髓压迫症状,并在手术中取肿瘤组织进行病理检查以明确患者肿瘤的来源和性质,从而指导制订下一步治疗方案。
经过周密的术前准备,徐杨主任医师和许春财副主任医师在术中为郑先生切除了胸椎T1-2水平压迫脊髓的肿瘤组织,在C7-T4节段置入椎弓根螺钉以稳定被肿瘤侵犯破坏的脊柱,并使用骨水泥将肿瘤病灶和脊髓组织进行了隔离,以防止其再次侵犯和压迫脊髓。术后郑先生双下肢肌力得到明显的改善,恢复站立行走。术后病理显示郑先生患上的是一种非常少见的“神经内分泌癌”,目前已转移到肿瘤内科进行进一步治疗。
徐杨主任医师提醒广大患者,腰背痛是十分常见的症状,很多患者甚至专业人员也常常忽视,如果腰背痛时间很久,逐渐加重,保守治疗效果不好,甚至出现双下肢乏力或行走不稳的情况,一定要引起重视,及时到医院就诊。
专家介绍

徐杰
二级主任医师、教授、医学博士
博士生导师、副院长
骨科与运动医学中心主任
国家卫健委突出贡献中青年专家
学术任职:
国家创伤医学中心质控委员
福建省创伤质控中心主任
国际AOspine生物力学研究会理事
亚太显微外科联盟委员
中国医师协会骨科医师分会委员,脊柱疼痛学组副组长
中国医师协会显微外科医师分会委员,显微神经脊柱外科学组委员
福建省骨科脊柱神经与关节疾病临床研究中心主任
擅长诊疗:
脊柱侧弯、后凸畸形的手术治疗;颅底与环枢椎疾病椎间盘突出、椎管狭窄症微创手术;臂丛及周围神经损伤腕管综合征;神经瘫痪功能重建手术。创新脊柱镜下微创手术获省科技进步一等奖;发明内镜下全髋置换,微创不切开肌肉髋、膝人工关节置换获国家卫健委加速康复外科突出贡献奖。

徐杨
主任医师
医学博士,硕士生导师
骨一科负责人
学术任职:
海峡医药卫生交流协会脊柱医学分会常务理事
福建省医学会骨科分会青年委员
福建省骨科学会脊柱学组委员
OSCG骨内科福建省学组委员
擅长诊疗:
微创脊柱外科,脊柱畸形矫正。

许春财
副主任医师
学术任职:
福建省抗癌协会骨与软组织肿瘤分会委员
擅长诊疗:
微创脊柱外科,骨与软组织肿瘤,恶性肿瘤脊柱与四肢骨转移等疾病。

