

王叔叔(化名)万万没有想到
吃个饭居然差点要了命
……
幸好我院耳鼻咽喉科团队
高效接力
用高超技术
把他从鬼门关拉回来
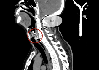
65岁的王叔叔吃饭时不慎误吞整排带铁钩假牙,咽喉痛,进食困难,就诊当地医院,用胃镜、食道镜等多次尝试后无法取出,马上转诊至我院。经过喉镜、颈部CT等相关检查,发现异物为钩状体积大假牙,横跨喉咽及食道,钩体已深入食道造成损伤,局部组织水肿明显,异物若未及时取出将出现呼吸梗阻,合并感染将出现脓肿可能,生命危在旦夕。


假牙异物巨大,还带钩状,内镜取出难度大,耳鼻咽喉科马上与胸外科、麻醉科、重症医学科、消化胃镜中心等学科进行多学科讨论,决定再次尝试胃镜、食道镜、喉镜等方式取出,也做好颈外入路切开的外科手术取出方式预案后,马上进行急诊手术。
术中看到异物为大体积钩状,爪钩像八爪鱼一样横跨喉咽部及食道入口,钩体已致食道穿孔,在耳鼻咽喉科杨心青主任医师、陈勇主任医师、王晓燕副主任医师、许玲玲医师及麻醉科丘春华副主任医师的配合下,通过直达喉镜、弧形喉镜、扩展喉镜联合食道镜多次更换配合“接力”,成功取出异物,避免了颈外入路取异物的创伤。术后王叔叔因喉部水肿送入重症医学科进一步治疗,3天后顺利出院。

卡在王叔叔咽喉中的假牙终于被取出
科普时间
食道异物有多可怕?
食道异物为耳鼻咽喉科常见的急诊,患者常因饮食不慎、进食时嬉笑等,误咽异物,如鱼刺、枣核、鸡骨、玩具、假牙等。异物多嵌在食管第一狭窄处,若不及时取出延误治疗可引起食管穿孔、纵膈脓肿、大血管破裂引起致命的大出血等并发症。
发生食道异物后该怎么办?
老百姓常用的“土办法”有喝醋、咽馒头面包、用手抠、催吐等等,全都是不靠谱的,尽快就医才是上策!
内镜下异物取出术,是治疗食管异物最可靠、创伤最小的方法,一旦诊断明确且已经并发感染或出血时,则应及时治疗,以免出现更严重的并发症。
如何避免食道异物?
· 养成良好的饮食习惯,避免进食时嬉笑打闹、狼吞虎咽;
· 儿童不要随意吞食非食物物品,及时纠正口中含物的不良习惯;
· 老年人如有假牙松动应及时矫正,睡前将活动假牙取下,以免误咽假牙;
· 误吞异物后,尽快就医,切忌强行吞咽食物,以免加重食管损伤。
一审:王华炜
二审:陈钰涛
三审:宁宇

