

“主任,我的脾保住了吗?”近日,在我院肝胆胰医学中心,手术苏醒后的林女士(化名)急切地询问身边的邱福南主任医师。
“保住了,答应你的做到了。”邱主任微笑地回答道。
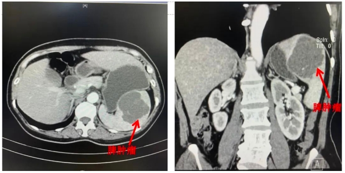
来自福清的林女士,10余年前在体检时发现脾脏囊性肿瘤,当初肿瘤仅2cm左右,但每年的定期体检都发现肿瘤在变大,到今年复查时,肿瘤最大直径接近10cm。辗转多家医院,医生均建议行脾切除术。想到要做器官切除,林女士一时心里无法接受。
日前,林女士前往我院肝胆胰外科邱福南主任医师的门诊,经验丰富的邱主任阅片后认为,肿瘤虽大,但主要在脾上级,是保脾手术的适应症。听到这句话,林女士悬着的心总算放下。

经过术前准备,邱福南主任医师、魏少明副主任医师团队顺利为林女士完成了荧光腹腔镜下脾部分切除术,手术仅耗时2小时。术后病理回报:脾脏脉管瘤。目前,林女士已康复出院。

荧光腹腔镜下脾部分切除术
邱福南主任医师介绍,脾脏是个非常“娇贵”的器官,质软易碎,血流量丰富,稍有损伤,血极其不易止住。因此,脾脏相关手术常常要行全脾切除术。同时,脾脏也是人体的免疫器官,具有过滤血液中的病菌和病毒的功能。传统全脾切除手术可能导致患者免疫功能下降,增加感染风险。同时,因为切除脾脏术后血小板升高,导致血栓栓塞风险的机率也增高。因此,对于良性疾病,在解决病灶的同时尽可能保留脾脏功能是最佳选择。随着脾脏功能研究的深入以及外科微创技术的发展,保脾治疗理念逐渐加深,国内外腹腔镜脾部分切除术开展例数也越来越多。目前,省立医院肝胆胰医学中心已成功完成多例荧光腹腔镜下脾部分切除。
我院肝胆胰医学中心是全省三甲综合医院中病区最多、规模最大的一站式肝、胆、胰疾病综合治疗中心。今年2月份,肝胆胰医学中心的一个病区入驻金山院区以来,邱福南主任医师带领魏少明副主任医师等,已在金山院区完成500余台手术,其中微创手术占比>95%,三四级手术占比>90%,开展腹腔镜胰十二指肠切除术、腹腔镜胆囊癌根治术、荧光腹腔镜肝切除术、单孔腹腔镜胆囊切除、多镜联合、保胆手术等多种高新微创术式,治疗病种涵盖了几乎所有的肝胆胰脾系统外科良恶性疾病,真正做到“一院两区,诊疗同质化”,以更加全面、精细、个体化的医疗服务为每一位患者的健康保驾护航。
专家介绍

邱福南
主任医师
副教授、硕士生导师
学术任职:
中国抗癌协会胆道肿瘤学组委员
中国研究型医院学会微创胰腺学组委员
福建省医师协会普外分会委员
福建省医师协会普外分会肝胆疾病学组副组长
福建省肝病学会常委
福建省抗癌协会肝胆胰肿瘤专业委员会委员
福建省肝胆胰疾病预防与控制专委会秘书
擅长诊疗:
肝胆胰脾外科良恶性疾病微创手术,特别是保护脏器功能手术(保留十二指肠胰头切除术、保胆取石术、脾脏部分切除术等)
门诊时间:
周二上午(东街院区)
周三上午(金山院区)

魏少明
副主任医师
学术任职:
福建省中西医结合学会肝胆胰外科学组委员
擅长诊疗:
肝胆胰脾良恶性疾病微创手术,中晚期恶性肿瘤转化治疗,单孔腹腔镜微创美容手术
门诊时间:
周二上午(金山院区)

黄龙
副主任医师
学术任职:
中国抗癌协会肝癌整合防治筛专业委员会委员
中国抗癌协会胰腺肿瘤整合康复专业委员会委员
福建省抗癌协会神经内分泌肿瘤分会委员
福建省医学会转化实验分会委员
福建海峡肿瘤防治学会肿瘤康复分会委员
擅长诊疗:
肝胆胰脾腹膜后各类良恶性肿瘤的手术、微创和综合治疗
门诊时间:
周四下午(东街院区)
一审:王华炜
二审:许陈玉
三审:宁宇

