新闻动态
您的位置: 首页 > 省立新闻 > 新闻动态

【骨科与运动医学中心·精准微创】“肩”熬四年终获新生!反向肩关节置换让患者告别疼痛

发布时间:2024-11-01 11:58  点击数:

肩关节是人体活动度最大的关节

当肩关节出现问题

日常生活都会受影响

饱受“肩”熬

叶阿姨(化名)就反复被折磨4年多

我院骨科与运动医学中心团队通过

反向肩关节置换

轻松治愈疼痛

让叶阿姨重获新生


60岁的叶阿姨因反复右肩关节疼痛活动受限4年多,辗转就诊多家医院进行药物、物理治疗,但效果均欠佳,如今更是痛到连吃饭、穿衣服等日常动作都无法完成。经过四处打听后,叶阿姨慕名找到我院汤发强主任医师团队。

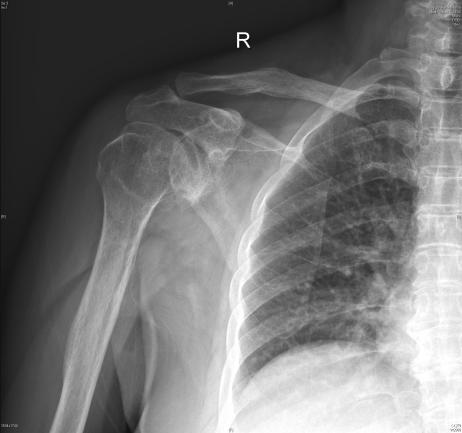
术前肩关节活动严重受限

汤发强主任医师为叶女士进行全面的身体检查,经过团队讨论及专业的分析,诊断为“肱骨头坏死伴右肩骨性关节炎”,决定为她进行反向肩关节置换手术

在制定了详细的手术方案后,汤发强主任医师团队顺利完成手术。术后,团队医护人员对叶女士进行了悉心的护理和康复指导,根据她的身体状况及时调整康复计划,现已康复出院。目前叶女士的肩关节功能恢复得非常好,她又重新找回了自信和生活的乐趣。

▲术前(左)术后(右)对比

question

什么是“反式肩关节置换”?

反向肩关节置换是一种较为先进的肩关节手术方式,传统肩关节置换是将肱骨头置换为假体,而反向肩关节置换则是将肩关节的球窝结构进行反转,把球形的假体安装在肩胛骨上,而把凹面的假体安装在肱骨上。

这种独特的设计改变了肩关节的生物力学机制,使得肩关节在活动时的受力点发生了转移。通过这种方式,可以更好地恢复肩关节的功能,提高患者的生活质量。

这种术式常用于严重的肩关节骨性关节炎、巨大不可修复的肩袖撕裂、肱骨头无菌性坏死、类风湿性关节炎肩关节重建、肿瘤切除后肩关节重建、肱骨近端复杂骨折重建或骨折后遗症等较为严重、其他术式已经很难恢复的肩关节损伤


专家介绍

徐杰

二级主任医师、教授、医学博士

博士生导师、副院长

骨科与运动医学中心主任

国家卫健委突出贡献中青年专家

享受国务院特殊津贴专家

学术任职:

国家创伤医学中心质控委员

福建省创伤质控中心主任

国际AOspine生物力学研究会理事

亚太显微外科联盟委员

中国医师协会骨科医师分会委员,脊柱疼痛学组副组长

中国医师协会显微外科医师分会委员,显微神经脊柱外科学组委员

福建省骨科脊柱神经与关节疾病临床研究中心主任

擅长诊疗:

脊柱侧弯、后凸畸形的手术治疗;颅底与环枢椎疾病椎间盘突出、椎管狭窄症微创手术;臂丛及周围神经损伤腕管综合征;神经瘫痪功能重建手术。创新脊柱镜下微创手术获省科技进步一等奖;发明内镜下全髋置换,微创不切开肌肉髋、膝人工关节置换获国家卫健委加速康复外科突出贡献奖。


专家介绍

汤发强

主任医师

学术任职:

中国医疗保健国际交流促进会骨质疏松分会常务委员

中国老年保健协会骨关节保护与健康委员会委员

福建省中西医结合创伤分会副主委

福建省中西医结合骨关节保护与矫形分会副主委

福建省中西医结合骨科分会常委

擅长诊疗:

长期从事关节外科与运动医学专科,擅长髋、膝、肩关节疾病的诊断和治疗、微创关节置换,以及运动损伤造成的肩、膝、髋、踝关节疼痛的微创治疗。


一审:王华炜

二审:许陈玉

三审:宁宇


省立新闻

信息查询