

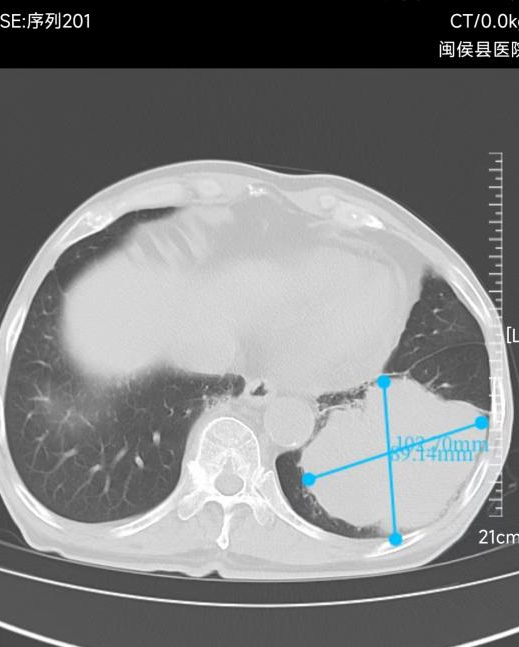
今年77岁的江老伯家住闽侯山区,因为左侧胸闷,在闽侯县医院检查发现其左下肺有一个接近10cm的肿瘤。往常这种情况,患者将需转诊到省级医院进行治疗。
前不久,我院胸外科“徐驯宇名医工作室”正式落户闽侯县总医院。随着,优质医疗资源下沉到基层,越来越多的县域百姓,成为了受益者,江老伯不出县城就享受省级优质医疗资源。

在名医工作室,
徐主任团队接诊了江老伯。
通过详细评估分析,
制定了周全的手术方案。

10cm肺部肿瘤

手术当天,徐驯宇主任及其名医工作室成员黄郴副主任医师与当地医院外科、手术室的同事共同努力,克服了患者肿瘤巨大,胸腔黏连严重的困难,为江老伯实施了胸腔镜下左下肺叶切除手术。整个手术耗时4个半小时,出血约200ml。
该例手术也成功的填补了闽侯县医院在这一领域的空白。江老伯经过2周的恢复,已顺利出院。

▲名医工作室揭牌仪式
名医工作室落户后,徐驯宇主任及团队还经常与县医院医务人员进行学术交流,分享胸外科领域的前沿技术和最新研究成果。同时,通过优化诊疗流程、提升医疗质量,真正为县域百姓健康服务。
一审:王华炜
二审:陈钰涛
三审:宁宇

