新闻动态
您的位置: 首页 > 省立新闻 > 新闻动态

【肝胆胰医学中心·精准微创】 “单孔+1”微创切除肝上的“大疙瘩”

发布时间:2025-02-10 11:33  点击数:

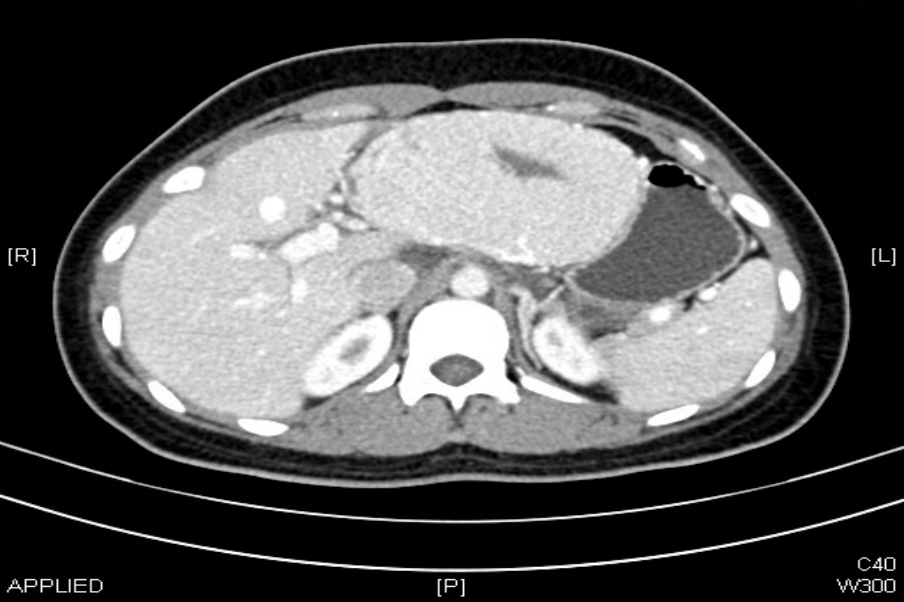
小李(化名)最近上腹莫名疼痛

体检后发现左肝

居然长出了一个“大疙瘩”

直径约11cm

进一步检查后

确诊为肝局灶性结节性增生


肝脏局灶性结节增生

肝脏局灶性结节增生(focal nodular hyperplasia, FNH)是一种肝脏良性占位性病变,在肝脏原发良性肿瘤发病率中仅次于肝血管瘤,排居第二。FNH发病率约为0.4%-3%,多见于35~50岁女性(女性比例最高达90%)。

其实,对于没有临床症状且诊断明确的FNH患者无需处理。但小李的结节由于较大,又因为时常疼痛严重影响了正常生活。

亟待解决问题的她找到了我院肝胆胰外科团队。小李担心传统开腹手术切口大,疤痕影响美观,邱福南主任医师经过详细分析后,决定采用“单孔+1”微创手术,仅需在患者体内开一个主孔和一个辅助孔,就能切除“疙瘩”,基本看不到伤疤,充分满足年轻女生爱美的需求。

手术当天,邱福南主任带领魏少明副主任和罗梦超主治医师,在手术室、麻醉科的配合下仅在患者肚脐处切开一个不足3cm左右的小切口,外加一个5mm的小孔,精准地将FNH病灶完整切除,同时又最大限度地保留了正常肝组织的完整性。这不仅减少了手术创伤,降低了术后并发症的风险,还让患者术后能够更快地恢复,重新回归正常的生活轨道。


术后,小李身体状况迅速好转,伤口愈合得很快,没有出现任何感染或其他并发症的迹象。在医护人员无微不至的照护下,她很快就能够下床自由活动,饮食也逐渐恢复了正常。

邱福南主任医师介绍说,“单孔+1”腹腔镜微创手术,是螺狮壳里建道场,“单孔腹腔镜手术”巧妙地利用了人体天然的“瘢痕”——肚脐,通过在脐周做一小切口,置入单孔多通道装置,使手术器械和镜头能够进入腹腔进行操作。

脐周切口的独特优势在于其良好的延展性,便于取出手术切除的标本,而无需额外开设辅助切口。同时,肚脐作为“天然的瘢痕”,能够有效隐藏手术切口,实现手术区域的“无痕化”。+1指的是对一些较为复杂的肝胆胰脾微创手术在本来需要放置引流管的部位增加一个5mm的戳卡,在减少单孔腔镜手术“筷子效应”的同时兼具微创与美容效果。对于追求美观的患者而言,该手术的优势更加显著。


专家介绍

邱福南

主任医师

副教授、硕士生导师

学术任职:

中国抗癌协会胆道肿瘤学组委员

中国研究型医院学会微创胰腺学组委员

福建省医师协会普外分会委员

福建省医师协会普外分会肝胆疾病学组副组长

福建省肝病学会常委

福建省抗癌协会肝胆胰肿瘤专业委员会委员

福建省肝胆胰疾病预防与控制专委会秘书

擅长诊疗:

肝胆胰脾外科良恶性疾病微创手术,特别是保护脏器功能手术(保留十二指肠胰头切除术、保胆取石术、脾脏部分切除术等)

门诊时间:

周二上午(东街院区)

周三上午(金山院区)


魏少明

副主任医师

学术任职:

福建省中西医结合学会肝胆胰外科学组委员

擅长诊疗:

肝胆胰脾良恶性疾病微创手术,中晚期恶性肿瘤转化治疗,单孔腹腔镜微创美容手术

门诊时间:

周二上午(金山院区)


一审:王华炜

二审:许陈玉

三审:宁宇

省立新闻

信息查询