

腹主动脉瘤和夹层
如同体内的“不定时炸弹”
破裂风险极高
尤其当病变累及
内脏区重要器官
(肝脏、脾脏、胰腺、胃肠道、双肾)
的供血血管时
传统手术难度巨大
近日
血管外科与肿瘤介入中心
郭平凡教授团队
利用3D打印技术精准定位
和体外支架预开窗改装
(结合束径技术)
成功为三位复杂危重患者实施
腹主动脉四开窗覆膜支架植入术
精准拆除“炸弹”
重建生命通道

▲郭平凡教授团队手术中
勇闯手术“禁区”:三位患者的救治
高龄巨大动脉瘤:两位高龄老人(80岁和76岁)体检发现巨大腹主动脉瘤(直径6.5厘米和6厘米),随时可能破裂,且瘤体累及重要的内脏供血血管,常规微创手术无法进行。

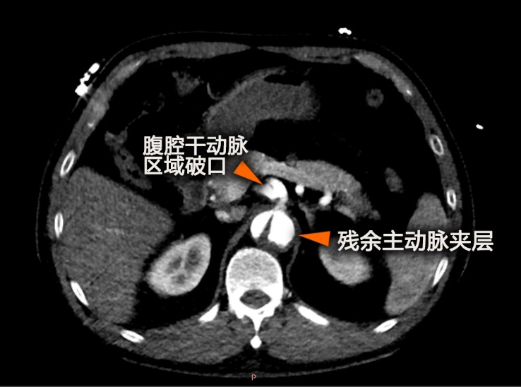
夹层术后残余破口:另外一位51岁男性患者,三个月前胸主动脉夹层术后复查发现支架远端仍有破口,假腔扩大威胁左肾供血,常规覆盖破口会导致器官缺血。

3D打印+精准开窗攻克难关
面对挑战,团队制定了周密方案:
01 精准规划
利用患者血管CT数据精细3D重建,清晰定位分支血管开口。
02 支架改装
在3D模型引导下,于覆膜支架上精确预开四个窗口(对应内脏器官血供的:腹腔干动脉、肠系膜上动脉、左右肾动脉),并加固。
03 精细操作
在杂交手术室,将预开窗支架精准输送到位,精细调整确保窗口与分支血管开口完美对齐,通过窗口植入分支支架重建血供,最后释放主体支架隔绝病变。术中运用“束径技术”(暂时约束覆膜支架为半释放状态,便于微调),避免并发症。

团队成员王沆主任医师表示
“合并内脏区四开窗分支重建的腹主动脉腔内修复术代表了主动脉微创治疗的最前沿,成功依赖精准的术前评估(3D建模)和娴熟操作。连续完成这三例手术,标志着我院在复杂主动脉疾病微创治疗领域达国内先进水平,实现‘量体裁衣’式精准治疗。”
随着老龄化和检查技术进步,复杂主动脉病变增多。此技术的成功开展,为众多“无法手术”或“手术高危”患者带来新希望。团队将继续深耕微创精准治疗,守护患者健康。
专家门诊时间
周四下午特需门诊
地点:东街院区2号楼8层第4间
周一上午普通门诊
地点:东街院区2号楼4层第5间
专家介绍

郭平凡
主任医师
教授、医学博士
学术任职:
中华医学会外科学分会血管外科学组委员
全国颈动脉外科专家委员会常委
中国医师协会血管外科委员会常委
中国医师协会腔内血管学专业委员会委员
中国医师协会腔内血管学专业委员会糖尿病足专家委员会副主任委员
中国医师协会血管外科分会胸主动脉学组副组长
福建医学会血管外科分会主任委员
福建省海峡医药卫生交流协会血管外科专业委员会主任委员
国家卫健委外周血管培训基地组长
国家临床药理基地组长
擅长诊疗:
胸主动脉及腹主动脉病变腔内介入及杂交手术诊疗,复杂主动脉瘤的开窗及分支支架植入,开放腹主动脉瘤重建、颈动脉内膜剥脱术,颈动脉体瘤手术,下肢急慢性动脉缺血的开放手术及介入治疗、下肢深静脉血栓及肺栓塞的一体化诊疗、内脏动脉瘤和内脏动脉缺血的介入治疗,复杂动静脉畸形的诊治等。
撰稿:血管外科与肿瘤介入中心 严骏
一审:王华炜 许陈玉
二审:郭平凡 陈钰涛
三审:宁宇

