媒体看省立
您的位置: 首页 > 省立新闻 > 媒体看省立

【胸部医学中心】软骨瘤8年后复发,男子胸壁长11厘米巨大肿瘤!

发布时间:2025-07-07 16:15  点击数:

57岁的老范(化名)8年前曾因左胸软骨瘤在外院接受手术,没想到,10个月前,他的左侧胸壁又出现一个肿块,肿块紧贴心脏大血管越长越大,直至侵蚀肋骨,犹如一颗不定时炸弹,威胁着生命。


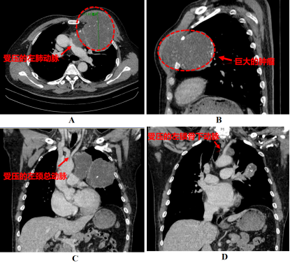
胸部CT显示

老范体内的肿瘤达11厘米,不仅体积巨大,还侵蚀了左侧第2-4肋骨,像馒头一样突出胸壁。更严重的是,肿瘤占据左侧胸腔及纵隔,还与主动脉、肺动脉主干、心包、神经紧密粘连。这种情况手术风险极大,稍有不慎就可能引发致命性大出血。


多学科会诊:定制精准手术方案

为了获得更好治疗,日前老范来我院找到胸外科潘小杰团队。接诊后,胸外科启动了院内多学科诊疗(MDT),邀请心脏大血管外科、麻醉科、重症医学科、肿瘤科、病理科、放疗科等,一起为老范量身定制了手术方案:通过胸部CT三维重建技术,立体还原肿瘤与血管、骨骼的解剖关系,预演手术路径,锁定风险点;心脏大血管团队备好体外循环设备,确保一旦术中大血管受损,可立即接管“生命通道”。

血管丛中完整 “拆弹”:仅耗时3.5小时

术中,潘小杰团队先行正中开胸,完整切除左前胸壁、左上纵隔、主动脉弓上以及左下胸壁的肿物,并完成胸廓成形。随后,医生们在血管丛林中“抽丝剥茧”,在未启动体外循环的情况下,便成功完整“拆弹”,并保留了解除压迫的血管和神经。手术耗时3.5小时。术后,老范状态良好,第二天便顺利拔除气管插管。目前,老范康复良好。

软骨瘤易复发:规律复查是关键

胸外科张振龙副主任强调,骨软骨瘤是最常见的良性骨肿瘤之一,约占所有良性骨肿瘤的20%-50%,虽为良性,但术后仍需警惕复发风险。数据显示,约5%-10%的患者可能因为各种因素导致肿瘤 “卷土重来”,再发时甚至可能发生性质改变。

因此

遵医嘱规律复查胸部CT

是守护健康的关键防线

切不可因为首次病理是良性肿瘤

而掉以轻心


专家介绍

潘小杰

主任医师

副教授、硕士生导师

胸外科主任

擅长诊疗:

胸部肿瘤的胸腔镜微创手术、机器人手术、双袖式肺癌根治术、空肠代食管术、复杂纵隔肿瘤切除+血管置换术胸壁肿瘤切除+胸壁重建术及局部晚期肿瘤的综合治疗

学术任职:

中国研究型医院学会胸外科分会常务委

中国医药教育协会胸外科分会常务委员

中国医师协会胸外科分会委员

福建省预防医学会胸部肿瘤预防控制专委会主任委员

福建省医师协会胸外科分会副会长

门诊时间:

周二上午(东街院区)

周四上午(金山院区)


张振龙

副主任医师

医学博士、硕士生导师

擅长诊疗:

擅长肺部结节、肺癌、胸腔及纵隔肿瘤、食管癌等胸外科疾病的微创手术及综合治疗;尤其精于累及心血管的高危、高难度巨大复杂肿瘤的处理。

学术任职:

福建省抗癌协会第一届纵隔肿瘤专业委员会常务委员

福建省抗癌协会食管癌专业委员会青年委员会副主任委员

福建省医师协会胸外科医师分会委员

福建省医学会胸外科学分会青年委员会委员

福建省医学会胸外科学分会纵隔学组委员

中国老年学和老年医学学会食管癌专家委员会委员

福建省睡眠医学会常务理事

福州市医学会医疗事故技术鉴定专家库成员


来源:海峡都市报

编辑:林靖怡

责编:陈钰涛

编审:宁宇


省立新闻

信息查询