

最近,67岁的林阿姨(化名)遇到了一件烦心事。
她的肚子像吹气球一样,短短几个月就大了起来。不仅鼓得像足月的孕妇,还出现了腹胀、吃不下饭、胸闷的症状。
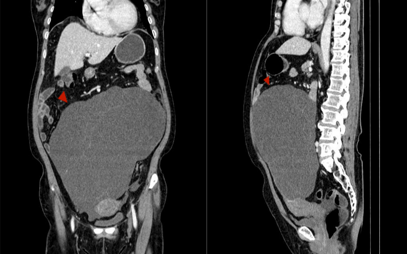
在我院妇产儿保医学中心(金山院区),医生经过详细的检查,发现林阿姨的盆腹腔里长了一个巨大的包块!

直径接近40厘米!几乎填满了整个盆腹腔,压迫着周围的器官。
高风险
如此巨大的肿瘤,也预示着手术的高风险:肿瘤剥离困难易出血、位置深在易损伤周围重要血管神经及脏器(如输尿管、肠道)、高龄患者对手术的耐受性相对较低。

妇产儿保医学中心陈政主任医师牵头组织了多学科联合会诊(MDT)。对林女士的病情进行了全面评估,并制定了详尽的手术方案和应急预案。医疗团队凭借精细的操作,成功地将这个与周围组织紧密粘连的巨大肿瘤完整切除(病理证实为来源于左侧卵巢的肿瘤)。
科普时间
为何卵巢肿瘤不易早期发现?
1 位置深
卵巢位于盆腔深处,早期病变不易察觉。
2 症状隐匿
较小的肿瘤通常没有明显症状。
3 易被忽视
肿瘤缓慢增大时,出现的腹胀、腹部膨隆等症状,容易被误认为是肥胖、消化不良或其他常见问题。
特别提醒!
绝经后女性一旦发现盆腔包块或不明原因腹部增大,应高度重视,及时就医。
专家介绍

门诊时间
陈政 主任医师
周一下午、周四上午(东街院区)
周四下午(金山院区)
撰稿:妇产儿保医学中心
一审:林靖怡 王华炜
二审:林靓 陈钰涛
三审:宁宇

