近日,我院心血管外二科团队再获突破,成功完成福建省最高龄经心尖导管主动脉瓣植入手术(TAVI),治愈四叶主动脉畸形伴主动脉瓣重度关闭不全、心脏重度扩大、严重心功能不全的81岁高龄患者。
术后六天患者顺利出院,主刀医生福建省立医院副院长翁国星教授分享了该例手术背后的故事。
心脏里比常人多了“一扇门” 造成血流紊乱
患者是81岁的王奶奶,长期受心脏疾病困扰,反复胸闷、气促、乏力伴全身水肿,严重影响生活质量。在我院就诊后发现老人罹患重度主动脉瓣关闭不全,且主动脉有4个瓣叶(正常人3个瓣叶),主动脉瓣瓣叶严重钙化毁损,已经彻底失去正常的关闭功能。主动脉瓣位于心脏左心室和主动脉之间,就像“高压水泵”和“输水总管”之间的“单向阀门”。原本血液通过阀门的调控单向通过主动脉供应全身,阀门一旦出了问题,导致血液返流加重了心脏负担,进而出现严重的心力衰竭症状。

术前通过CT检查,计算机模拟重建的主动脉瓣图像,显示患者为四叶主动脉瓣畸形,并伴有严重的关闭不全。
除了“TAVI”别无选择 多学科专家“护航”手术
以往这种患者必须接受正中开胸手术,体外循环直视下人工心脏瓣膜置换术。但对高龄患者,如果进行外科手术心脏瓣膜置换将有极大的手术风险。王奶奶1年前曾腰椎骨折,近期还出现了全身性的水肿。鉴于其病情复杂,年龄较大,身体情况不理想,进行外科开胸换瓣手术风险极高。“除了TAVI别无选择”,翁教授表示,“即便是进行TAVI手术,风险也是高的”。TAVI手术是通过微创介入的方式,经导管主动脉瓣置入术,患者创伤小,且术后恢复快。但同时TAVI手术需要一支由心外科、心内科、超声科、麻醉科等医师共同组成的多学科团队,并对该团队的临床经验、技术能力、整体配合等要求严苛,特别是术中,应对可能出现的脑卒中、严重心律失常、瓣膜脱落、冠脉动脉闭塞等突发情况,要求团队成员快速判断、果断处理。目前,国外已开展了20余万例的TAVI手术,已成为治疗高危主动脉瓣狭窄的主流术式,但国内开展此项手术起步较晚,如此高难度的手术,加上高标准的要求,目前全国仅有少数医院能开展。
在翁国星教授的组织下,经心血管外科、心血管内科、麻醉科、重症医学科、超声科等多学科讨论评估,以及严谨、周密的术前准备。心外二科团队联合麻醉科、体外循环和心内科等相关科室的专家顺利为患者王奶奶实施手术,以微创介入的方式,为患者植入新的人工主动脉瓣膜,以恢复主动脉“门”的正常开与关功能。术中切口仅5公分,手术时间不到1小时,术后第二天患者即可下床活动,六天后顺利出院。
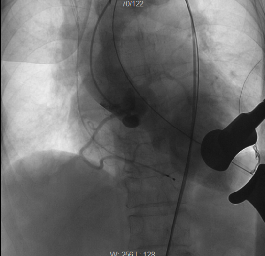
术前造影,提示主动脉瓣在舒张期出现大量返流
术后再次造影检查,见人工主动脉瓣位置良好,瓣口返流消失
手术切口仅为125px
该例手术的成功标志我院微创瓣膜手术治疗迈上新台阶,为高龄患者提供一种新的微创心血管外科手术选择。
患者出院前与医师们合影

