媒体看省立
您的位置: 首页 > 省立新闻 > 媒体看省立

胰管长结石需切六个器官保命?医生挑战“手术禁区”精准取石

发布时间:2019-08-29 11:19  点击数:

东南快报记者 林雅 通讯员 宁宇 陈钰涛 文/图

 

“福建健康”王耀东肝胆外科名医工作室

工作室主任:王耀东

成员:田毅峰、邱福南、周松强、严茂林、陈忠、白燕南、陈实、赖建林等

团队擅长:肝胆胰系统系统恶性肿瘤及其它常见病的诊治、疑难病例的诊治及微创外科技术等。

执业地点:福建省立医院

 

20岁小伙子小黄,

总是感觉中上腹部隐隐作痛

特别是吃完饭后,

痛得更明显,

还容易恶心、呕吐

但他对于小毛病一直没太在意,

结果高考体检时发现胰管结石。


随后,

小黄来到省立医院进一步就诊。

查了腹部CT,

结果提示:

胰管多发结石,

伴胰管不均匀扩张,

胰腺实质萎缩,

并被收治入院。

 

医生考虑“胰管结石伴慢性胰腺炎”改变,给予消炎、止痛、抑酸等对症处理后,他的腹痛有所好转。然而,出院后他仍是反复腹痛,这让原本就消瘦的他整日吃不好也睡不安稳。

一年来,备受折磨的小黄一家人,多番打听后决心进行手术治疗。于是,前段时间他们找到省立肝胆外科、“福建健康”王耀东肝胆外科名医工作室的专家严茂林主任医师。

经过详细的术前检查,医生发现小黄整个胰管充满结石,尤其是胰头部及胰尾部主胰管和分支胰管均有大量结石,胰体部主胰管有结石而分支胰管结石少。

 

听过胆结石、肾结石,但胰管结石又是啥?

据了解,胰管结石顾名思义,就是长在胰腺导管内的结石,胰管结石是临床中较为少见的疾病,正常人群中的发病率较低。然而一旦出现,处理却较其他部位的结石更为棘手。 

7小时“禁区”取石

仅出血100毫升

 

由于胰腺的解剖位置和生理特点,

胰腺手术一直有着高技术含量、

高难度、高风险的特点。

 

做胰十二指肠切除术能彻底解决胰头部结石,

但需要切除六个器官、

手术创伤大、

术后并发症多、

患者年龄小影响其长期生活质量。

要减少手术对正常生理功能的影响,

可以考虑做保留十二指肠的胰头切除术。

但是保留十二指肠的全胰头切除术难度更大,

就像在刀尖上跳舞,

稍有不慎就会造成十二指肠和胆道的缺血坏死等。

 

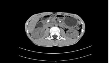
(术前CT图)

 

为此,

王耀东主任医师、严茂林主任医师、

吴嘉艺主治医师、黄晓晓医师组成的治疗小组,

对小黄的病例展开详细讨论。

最后,

医生们权衡利弊之下,

决定冒险,

“保留十二指肠的全胰头切除、胰管切开取石术”

 

7月25日,严茂林带领团队为小黄施行了“保留十二指肠的全胰头切除、胰尾切除、胰管切开取石、胰肠吻合术”。术中探查显示,小黄胰腺呈慢性胰腺炎改变,与周围组织粘连致密,全胰可扪及多发质硬结石。

情况棘手,医生进行了长达4小时的精雕细琢,进行全胰头的解剖性切除,并完整保留了胰十二指肠上、下血管弓及胆总管。之后医生沿残余胰腺长轴纵行切开主胰管,取净主胰管及分支胰管的结石,切除胰尾约100px,将空肠与纵行切开的主胰管行胰肠吻合。

所幸,历经约7个小时的努力,医生们顺利闯过手术禁区,术中仅出血约100ml。术后,小黄恢复良好,第八天顺利出院,目前进一步随访,他的情况也很良好。

 

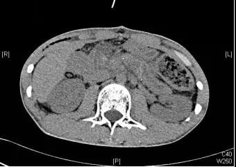
(术后CT图)

“病灶清除、脏器保护和损伤控制,正是王耀东教授的领导下省立肝胆外科一直秉持的精准外科理念,从而实现患者获益最大化,实现快速康复目的。”严茂林主任说。

 

医生提醒:胰腺结石可能癌变  一旦发现要积极干预

严茂林主任指出,

胰管结石的原因其实并不是十分明确,

早期症状没有什么特异性,

会引起上腹部疼痛等症状,

但容易被忽视。

随着病情的进展,

还会出现胰腺内外分泌功能障碍导致糖尿病、

消化不良、脂肪泻、消瘦等。

 

由于胰管结石会压迫胆总管下端或

合并胆总管结石等因素还会导致梗阻性黄疸,

甚至可能会引发局部癌变,

特别是胰头部结石癌变概率高达20%-30% 

 

他提醒,

胰腺是我们身体上腹部深处一个器官,

但它作用非凡。

因为它是一个有外分泌和内分泌功能的腺体,

它的生理作用和病理变化都与生命息息相关。

因此,

一旦发现胰腺疾病要及时治疗,

以免病情恶化。