

海绵状血管瘤也称海绵状血管畸形
虽然名字里带了个“瘤”字
但它其实是一种血管畸形
可当它发生在“生命中枢”脑干
手术难度和风险则成倍增加
近日
我院神经医学中心颅底亚专业团队
勇闯“禁区”,精准“拆弹”
成功完整切除了一例长在脑干的海绵状血管瘤
并且完整保留神经功能
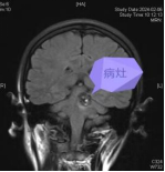
33岁的陈女士(化名)近来总觉得右半边身体麻木无力,走路不稳、头痛头晕,来到我院神经医学中心求诊。通过磁共振检查,发现其脑干偏左侧,有个海绵状血管瘤,同时还伴有出血。
得益于我院神经医学中心多学科联合诊疗的优势,接诊她的神经内科医师立刻联合神经外科颅底亚专业的黄绍崧主任医师团队。
经黄绍崧主任医师仔细阅片研判,陈女士的海绵状血管瘤长在脑干,手术风险极高,但有过一次出血,就会有第二次甚至第三次出血,万一再次大量出血,可能会危及生命。
因此切除病灶十分必要。而且,海绵状血管瘤必须被完整切除,否则术中有可能大出血,术后残留将导致再次出血和复发。
也就是说这个“肿瘤”犹如一枚“炸弹”,随时让陈女士处于偏瘫甚至死亡的边缘。

术前检查:海绵状血管瘤处于脑干偏左侧
而正因为脑干位置特殊,如何在狭小的颅底获取尽可能大的操作空间并显露肿物?
作为生命中枢,手术稍有不慎导致脑干损伤,也同样会造成严重偏瘫甚至昏迷。
有着丰富脑干手术经验的黄主任,迅速帮陈女士制定了周密的手术计划,决定手术采取颞下入路并切开小脑幕,避开重要神经血管,使创伤达到最小化,同时手术在电生理监测下进行,增加了双保险。
术中,病灶被切除时,电生理监测立刻显示陈女士右侧肢体感觉功能得到明显改善,且神经功能得到完整保留。术后在医护人员精心照料下,陈女士的右侧肢体肌力逐渐恢复。

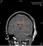
术后复查:病灶完整切除
各项复查显示,病灶已被完整切除、颅神经功能均未受损。陈女士右侧肢体感觉和运动功能得到明显改善,她阴郁的脸上终于露出了久违的笑容。
神经医学中心颅底亚专业团队,坚持用心做好每一台手术,不断为患者提供精细化、个体化的优质医疗服务。近年来,屡屡突破手术“禁区”,针对桥小脑角区肿瘤、斜坡及岩斜区肿瘤、枕骨大孔区肿瘤、寰枕畸形、颅眶交界区肿瘤、脑脊液漏、脑干肿瘤、脑干出血等疾病,结合微创外科技术、颅底修复技术、影像导航、术中神经监测、神经功能保护等先进技术,积累了丰富的颅底手术经验和技术沉淀,完成了大量高难度的手术。
专家介绍

黄绍崧
主任医师、颅底肿瘤组组长
学术任职:
福建省海医会神经微侵袭治疗专业委员会副主任委员
中华医学会福建分会神经外科专业委员会委员
中华医学会福建分会神经外科颅底专业委员会委员
擅长诊疗:
有较高的手术操作技巧,擅长各种神经肿瘤特别是高难度的颅底肿瘤手术。

