新闻动态
您的位置: 首页 > 省立新闻 > 新闻动态

【健康有术】脖子上长了个“大芒果”——竟是巨大胸骨后甲状腺肿,专家团队精准切除

发布时间:2024-04-15 17:57  点击数:

良性甲状腺结节

大部分可以定期观察

但当结节长到芒果大小

压迫气管 呼吸不畅

严重危害身体健康

怎么办?

最近

甲状腺(疝)外科肖雪明主任医师团队

成功为吴伯伯(化名)完整切除

12cm的巨大胸骨后甲状腺肿

十年困扰一朝解决

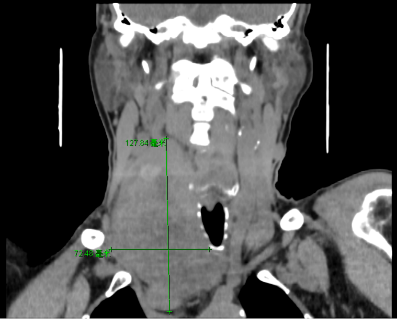
76岁的吴伯伯,发现颈部肿物已经10余年,之前还没有放在心上,谁知随着年龄增长,这个脖子上的“小疙瘩”如今已变成“芒果”般大小,不仅影响美观,更严重影响着呼吸和饮食,痛苦不堪,这才来医院检查。

▲巨大胸骨后甲状腺肿

我院甲状腺(疝)外科肖雪明主任医师接诊后,发现吴伯伯患的是巨大胸骨后甲状腺肿,有12cm大!巨大肿块与周围组织黏连紧密,气管压迫严重并明显出现移位,再加上肿物已经向胸腔生长,延伸至胸骨后下4cm,紧靠主动脉弓,危害极大。

▲肿物大小达到12cm左右


手术难题

01 巨大甲状腺肿手术操作复杂

02 高龄伴高血压等基础病

03 容易出现严重并发症

然而,巨大甲状腺肿手术操作复杂,且患者70多岁高龄伴高血压等基础病,除麻醉风险外,还容易出现严重并发症,可能因喉返神经损伤导致的声带麻痹,可能因肿物压迫导致气管软化或术后血肿压迫气管等引起呼吸困难,但如果不及时手术,不断增大的肿物将一直挤压气管,直至完全堵住,老人随时有生命危险。


家属手术意愿强烈,团队决定迎难而上:

肖雪明主任医师反复查看患者CT,评估肿块与周边重要结构的关系,脑中不断模拟术中可能出现的场景,组织多学科讨论,明确了肿块的可切除性。

经过充分的术前准备,“拆弹”手术正式开始:

麻醉医生廖燕凌副主任医师熟练操作“清醒状态下气管插管全麻”,让艰难的气道管理变得常规,肖雪明主任医师、郑俊杰主治医师团队术中对密密麻麻的怒张血管巧妙结扎,精细操作,既完整切除甲状腺肿又保护周围重要组织,顺利完成手术。术后患者顿感呼吸通畅,恢复良好。

▲廖燕凌副主任医师进行清醒状态下气管插管全麻

▲肖雪明主任医师切除甲状腺肿


肖雪明主任医师表示,越来越多人在体检中发现甲状腺结节,但甲状腺结节大部分为良性结节,大部分人只要定期随访观察即可。但若出现:结节大出现压迫症状;胸骨后甲状腺肿;结节怀疑恶性;结节并发甲亢;结节影响外观与生活等情况要及时就诊积极处理。


什么是巨大甲状腺肿?

巨大甲状腺肿,一般是指最大直径超过 10 cm、质量大于 100 g 的甲状腺肿或甲状腺Ⅲ度以上肿大。这种情况往往伴随气管、颈部血管、神经等重要脏器受压偏移位,这类手术是甲状腺外科中高难度高风险的手术之一。


甲状腺(疝)外科

科室技术力量雄厚,医疗设备齐全。年手术量3000余台,三、四级手术率达80%以上。拥有结构合理,素质优秀的人才梯队,博硕占比75%。

在国内首先应用“甲状旁腺全切除及胸乳肌内带蒂旁腺移植术”治疗继发性甲旁亢;在省内率先开展经胸乳路径完全腔镜下甲状腺癌根治术,切口隐蔽,美容效果良好;省内率先开展单孔腹腔镜下腹股沟疝修补术等;目前特色开展不同入路的单孔腔镜下甲状腺癌根治,达芬奇机器人甲状腺癌根治术;同时对合适的患者提供超声引导下射频介入治疗等。

随着甲状腺疾病诊治中心的成立,通过内分泌科、甲状腺(疝)外科、超声科、核医学科多学科协作,进一步优化诊疗流程,为患者提供“一站式”个体化、规范化的诊疗服务。