

77岁的雷婆婆最近频繁咳嗽
常常感觉快要喘不过气
去医院检查后发现
居然真的有一块“巨石”顶住胸口
到底是怎么回事?
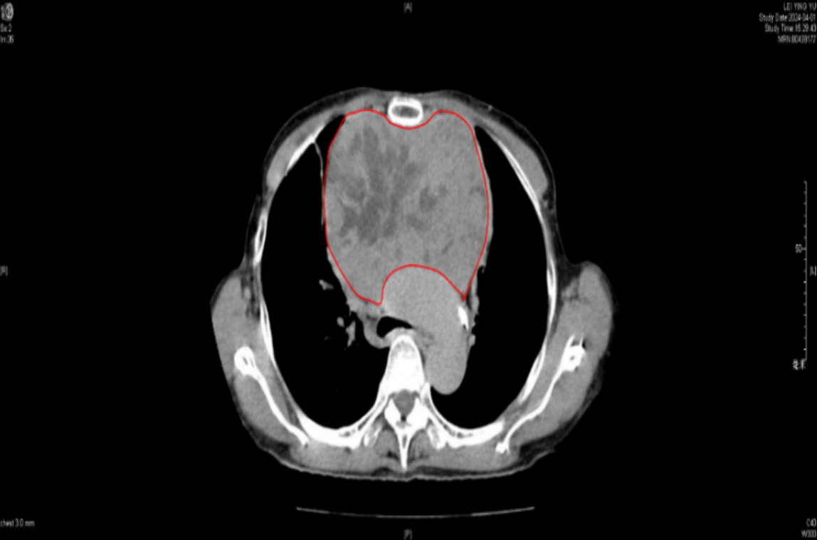
被咳嗽、胸闷折磨多日不见好转,家人带着雷婆婆来到医院检查——胸腔里竟然长了个超过14厘米的巨大肿块!这个硕大无比的肿物就像一个“巨石”顶住雷婆婆的胸口,还压迫了心脏和气管!

红色画圈部分为肿块
终于找到了“元凶”,雷婆婆的家人们心急如焚,随即找到我院胸外科副主任陈文树求助。陈文树为雷婆婆完善了检查,在进行纵隔穿刺活检后,通过病理确诊——这是A型胸腺瘤,是发生于胸腺的原发性肿瘤,也是前纵隔最常见的肿瘤类型。
考虑到雷婆婆的病情
眼下最佳的治疗方式就是手术切除
才能解除肿瘤对雷婆婆心肺的压迫
可雷婆婆和家人却很担心,已逾古稀之年的老人做手术,而且还是切除一个毗邻心肺及大血管、超过14厘米的巨形肿物,手术难度不言而喻。雷婆婆的家人们很担心手术的风险以及术后雷奶奶能否顺利康复。
陈文树副主任用专业知识阐明了手术治疗的必要性以及对手术风险的把控,并详细阐述了治疗计划,一一打消了雷奶奶和亲人们的所有疑虑。当他们了解到我院胸外科拥有丰富的前纵隔肿瘤诊疗经验,坚定了抗击巨型胸腺瘤,拯救雷奶奶生命的决心。
多学科保驾护航
术前:为了确保手术的平稳进行,在胸外科潘小杰主任主持下,陈文树副主任与黄阳昀博士、余兆俊博士,联同心外科、麻醉科在术前进行多学科讨论。
术中:凭借着精湛的技艺,陈文树副主任在手术中细心操作,引领团队顺利完成“正中胸腺扩大切除术+受累升主动脉外膜剥离术+左头臂静脉切除术”,解开了雷婆婆的“心结”。
术后:ICU和康复科等科室紧密协作,对雷奶奶进行了全方位的加强护理。整个护理过程中,各科室密切沟通,通过定期的病情讨论和会诊,及时调整护理方案,确保雷奶奶在每个恢复阶段都能得到最合适的照顾。

这种多学科协作的模式,不仅提高了医疗质量,也显著加快了她的康复进程,让她在术后能够尽早恢复健康,重新返回正常生活。

胸腺瘤是什么?
为什么会让雷奶奶遭受这样的折磨?
胸腺瘤是指发生在位于胸骨后方的免疫器官——胸腺的原发性肿瘤,是前纵隔最常见的肿瘤类型,可分为良性和恶性。大多数患者在早期并没有症状,而随着肿瘤增长压迫或侵犯到周围组织和器官时,就会出现相应的压迫症状,其中包括:
1.胸腺瘤患者可能会感到胸痛、胸闷或呼吸困难。
2.当胸腺瘤刺激呼吸道时,会导致患者咳嗽,可能伴或不伴有痰液。
3.部分胸腺瘤患者会出现重症肌无力的症状,表现为肌肉无力、易疲劳等。这是由于胸腺瘤可能会产生一些抗体,从而影响到神经肌肉的传递。
4.胸腺瘤还可能引起一些其他症状,例如声音嘶哑、吞咽困难、上肢麻木等。
当出现以上症状后,应尽早就医,完善检查。
专家介绍

潘小杰
主任医师、副教授
硕士生导师、胸外科主任
学术任职:
中国研究型医院学会胸外科分会常务委员
中国医药教育协会胸外科分会常务委员
中国医师协和胸外科分会委员
福建省预防医学会胸部肿瘤预防控制专委会主任委员
福建省医师协会胸外科分会副会长
擅长诊疗:
胸部肿瘤的胸腔镜微创手术、机器人手术、双袖式肺癌根治术、空肠代食管术、复杂纵膈肿瘤切除+血管置换术、胸壁肿瘤切除+胸壁重建术及局部晚期肿瘤的综合治疗。

陈文树
副主任医师、副教授
外科学博士、硕士生导师、胸外科副主任
学术任职:
国际食管疾病学会中国分会青年委员
中国肺癌防治联盟青年委员
福建省医学会胸外科分会青年委员会副主任委员
2017年、2018年蝉联“菁英赛”“腔镜食管组”闽赣赛区冠军、南中国赛区冠军, 2018年全国总决赛第3名
2020年“胸外最强音”首届中国胸外科规范与创新手术巅峰展示会“亚肺叶(专家组)”南区决赛第3名
擅长诊疗:
机器人辅助胸腔镜手术及肺移植手术、胸腔镜肺癌根治术、胸腔镜下肺段及联合亚段切除术、胸腹腔镜联合食管癌根治术、经剑突下胸腺瘤切除术,以及手汗症、漏斗胸的胸腔镜微创手术。广泛开展胸外科“无管化技术(tubeless)”,促进患者术后快速康复。
一审:王华炜
二审:许陈玉
三审:宁宇

