新闻动态
您的位置: 首页 > 省立新闻 > 新闻动态

【胸部医学中心】罕见畸形+食管癌双重挑战!医患携手书写抗癌新篇章

发布时间:2025-03-07 22:31  点击数:

当凶险的食管癌

遇上罕见的先天血管畸形

一场“不可能完成”的手术

如何创造生命奇迹?

65岁的老乐(化名)身患局部晚期颈段食管癌,同时合并仅0.1%人群存在的右位主动脉弓——犹如在布满血管“迷宫”的咽喉要道拆除“肿瘤炸弹”!

我院胸外科副主任陈文树团队突破医学禁区,以创新疗法+精准微创手术,助他成功抗癌。术后一年半,老乐和家属回忆时仍难掩激动之情:“从绝望到重生,你们给了我第二次生命!”

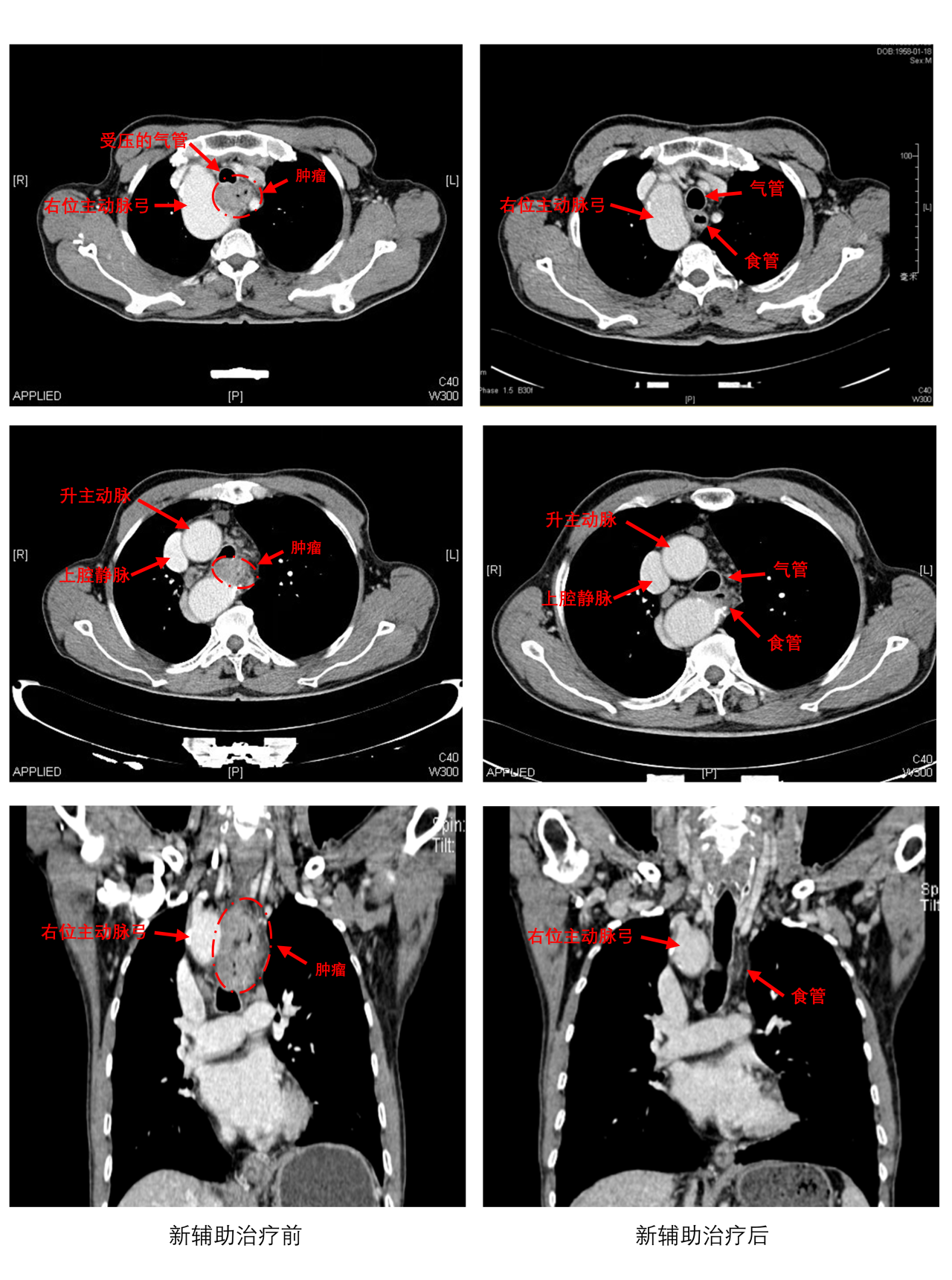
2023年秋,老乐因吞咽困难就医,确诊为颈段食管癌(仅占食管癌5%),且已至局部晚期。更凶险的是,CT检查发现他竟患有右位主动脉弓——一种罕见的先天性血管畸形,导致上纵隔空间极度狭窄,肿瘤紧贴咽喉与异常血管,传统手术极易残留癌细胞或引发大出血。

“就像在满是精密管线的隧道里拆弹,稍有不慎就会‘引爆’致命风险。”主刀医生陈文树副主任坦言。

面对双重危机,胸外科团队制定“术前打击+三维导航+微创攻坚”创新方案:

01 术前精准缩瘤

3周期术前新辅助“化疗+免疫”治疗,肿瘤缩小超过50 %,为手术创造条件;


02 三维血管导航

CT血管成像立体还原血管与肿瘤位置,提前规划手术路径;


03 微创极限操作

独创“左进胸翻身三切口”术式,通过4个1厘米小孔,在胸腔镜+腹腔镜下完成肿瘤切除、淋巴结清扫及消化道重建!

胸腔镜手术示意图

术后病理显示肿瘤完全灭活,但挑战仍在——因手术涉及咽喉,医护团队为老乐定制呼吸训练、吞咽康复计划,历时3个月,他终于从流食恢复到正常饮食。


“从绝望到重生,你们用技术创造奇迹,用关怀抚平恐惧……”老乐及其家属多次对胸外科团队的全力救治表示感谢。

陈文树医生却感慨:“患者的信任才是医学突破的基石。每个复杂病例,都是医患共同书写的生命篇章。”


目前,该案例已成为区域性学术会议典型病例,为特殊解剖结构食管癌患者提供了全新治疗范本。

警惕食管癌

食管癌早期信号:

吞咽食物有滞留感

胸骨后针刺样疼痛持续2周

反复反酸、烧心

高危人群:

40岁以上长期吸烟、饮酒者

爱吃烫食、腌制品人群

预防关键:

饮食温度低于65℃

多吃新鲜果蔬,少吃腌制熏烤食物

高危人群每1-2年做一次胃镜!


专家介绍

潘小杰

主任医师、副教授

硕士生导师、胸外科主任

学术任职:

中国研究型医院学会胸外科分会常务委员

中国医药教育协会胸外科分会常务委员

中国医师协和胸外科分会委员

福建省预防医学会胸部肿瘤预防控制专委会主任委员

福建省医师协会胸外科分会副会长

擅长诊疗:

胸部肿瘤的胸腔镜微创手术、机器人手术、双袖式肺癌根治术、空肠代食管术、复杂纵膈肿瘤切除+血管置换术、胸壁肿瘤切除+胸壁重建术及局部晚期肿瘤的综合治疗。

陈文树

副主任医师、副教授

外科学博士、硕士生导师、胸外科副主任

学术任职:

国际食管疾病学会中国分会青年委员

中国肺癌防治联盟青年委员

福建省医学会胸外科分会青年委员会副主任委员

2017年、2018年蝉联“菁英赛”“腔镜食管组”闽赣赛区冠军、南中国赛区冠军, 2018年全国总决赛第3名

2020年“胸外最强音”首届中国胸外科规范与创新手术巅峰展示会“亚肺叶(专家组)”南区决赛第3名

擅长诊疗:

机器人辅助胸腔镜手术及肺移植手术、胸腔镜肺癌根治术、胸腔镜下肺段及联合亚段切除术、胸腹腔镜联合食管癌根治术、经剑突下胸腺瘤切除术,以及手汗症、漏斗胸的胸腔镜微创手术。广泛开展胸外科“无管化技术(tubeless)”,促进患者术后快速康复。


一审:王华炜

二审:许陈玉

三审:宁宇